Trong 3 tháng đầu năm, Bệnh viện Bệnh Nhiệt đới TP.HCM tiếp nhận 140 ca áp xe gan do sán lá gan. Con số này gấp 4 lần so với năm 2022.
Tăng đột biến số ca bệnh sán lá gan
Giữa tháng 3, Bệnh viện Bệnh Nhiệt đới TP.HCM tiếp nhận 2 phụ nữ nhập viện trong tình trạng đau bụng thượng vị tăng dần, kèm sốt và buồn nôn. Đây là hai bệnh nhân đang mang thai ở tuần thứ 16 và tuần thứ 28.
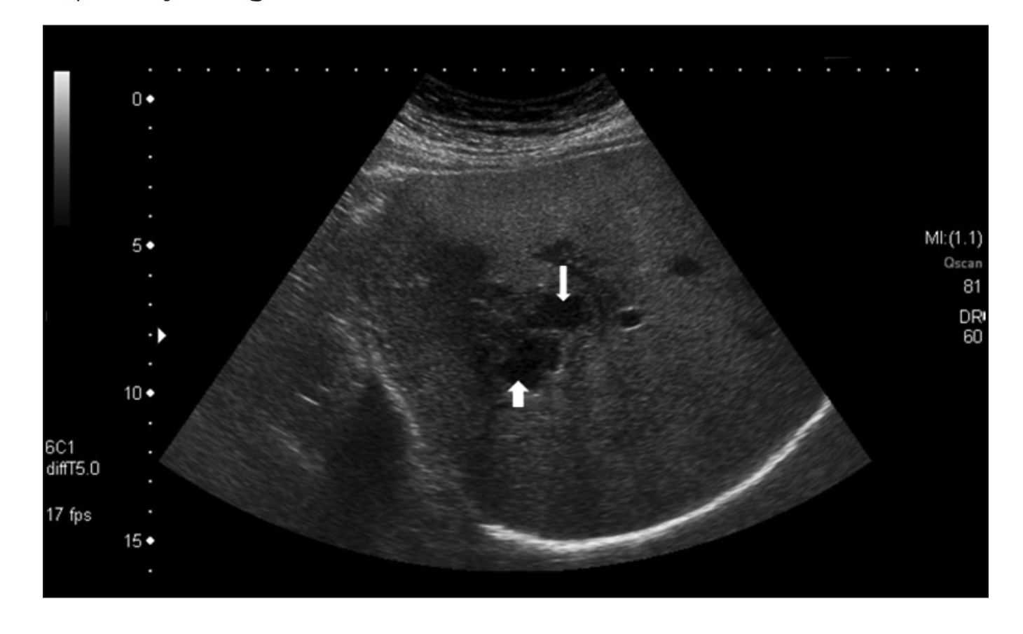
Xét nghiệm công thức máu ghi nhận, bệnh nhân có tình trạng tăng bạch cầu ái toan, xét nghiệm huyết thanh chẩn đoán Fasciola spp. dương tính. Kết quả siêu âm cho thấy có ổ áp xe ở gan, kích thước 5×8cm ở thai phụ 16 tuần và 7×8,4cm ở thai phụ 28 tuần.
Nhận định đây là những ca bệnh phức tạp, khó xử trí, các bác sĩ tiến hành hội chẩn toàn viện và liên viện với chuyên khoa ngoại, sản để tìm phương án tốt nhất.
Hình ảnh áp xe gan do sán lá gan lớn trên siêu âm. Ảnh: BVCC.
Sau khi tư vấn cho người bệnh và thân nhân các lợi ích và nguy cơ trong quá trình điều trị, các bác sĩ quyết định cho thai phụ sử dụng thuốc Triclabendazole. Đồng thời, theo dõi sát diễn biến lâm sàng, tình trạng thai.
Sau 1 tuần nằm viện, bệnh nhân hết sốt, hết đau bụng và được xuất viện. Khai thác thông tin, bác sĩ ghi nhận một thai phụ sống ở tỉnh Khánh Hòa, một người sống ở TP Thủ Đức (TP.HCM) và thường ăn rau sống từ quê Bình Định gửi vào. Hai bệnh nhân có liên quan đến những khu vực có nhiều ca nhiễm sán lá gan lớn của cả nước.
Tiến sĩ, bác sĩ Lê Mạnh Hùng, Phó giám đốc Bệnh viện Bệnh nhiệt đới TP.HCM cho hay, trong 3 tháng đầu năm, nơi này tiếp nhận và điều trị hơn 140 ca bệnh áp xe gan do sán lá gan, tăng hơn 4 lần so với cùng kỳ năm ngoái (32 ca).
Trong đó, không ít ca có diễn tiến nặng, nhập viện trễ, nguy cơ áp xe lớn dọa vỡ khiến việc điều trị khó khăn, phức tạp.
Bệnh viện Bệnh nhiệt đới TP.HCM tiếp nhận 140 ca áp xe gan do sán lá gan trong 3 tháng. Ảnh: GL.
Bệnh do ăn sống, uống nước chưa sôi
Tổ chức Y tế Thế giới (WHO) luôn xem Việt Nam là một vùng dịch tễ của sán lá gan lớn. Hiện nay, các ca bệnh được ghi nhận ở 47/63 tỉnh thành, nhiều nhất là vùng duyên hải miền Trung như Đà Nẵng, Quảng Ngãi, Bình Định…
Biểu hiện nhiễm sán lá gan lớn phản ánh hành trình của sán trong cơ thể người.
Giai đoạn sán đi qua gan, kéo dài từ 2-4 tháng: Người bệnh thường đau bụng vùng hạ sườn phải lan về phía sau hoặc vùng thượng vị, có thể đau âm ỉ, đôi khi dữ dội. Sốt nhẹ, thoáng qua hoặc có thể sốt kéo dài, sốt cao. Mệt mỏi, biếng ăn, sụt cân. Cảm giác đầy bụng, khó tiêu, buồn nôn. Nổi mề đay, sẩn da.
Một số trường hợp, ấu trùng sán di chuyển lạc chỗ và gây tổn thương thành ruột, màng phổi, cơ thăn,… Xét nghiệm máu có thể phát hiện tăng bạch cầu ái toan. Siêu âm bụng có thể thấy các tổn thương ở gan.
Giai đoạn sán trưởng thành ở ống mật, kéo dài nhiều năm: Người bệnh thường sốt, ăn không ngon. Một số người bị biến chứng tắc nghẽn đường mật có triệu chứng vàng da, sốt, đau bụng từng cơn. Siêu âm bụng phát hiện một khối mềm sáng gây tắc nghẽn đường mật ngoài gan.
Do đó, các chuyên gia khuyến cáo khi có các dấu hiệu nghi ngờ, người bệnh cần đến các cơ sở y tế để được thăm khám, thực hiện các xét nghiệm máu, siêu âm bụng. Những người có thói quen ăn rau sống không rửa kỹ; sinh sống hoặc lui tới các tỉnh thành của vùng duyên hải miền Trung có nguy cơ mắc bệnh.
Việc điều trị được cá thể hóa tùy vào tình trạng. Trường hợp đặc biệt như thai phụ; ổ áp xe lớn dọa vỡ,… bệnh nhân cần can thiệp phẫu thuật.
Bệnh sán lá gan lớn
Sán lá gan lớn gây bệnh cho người có 2 loại là Fasciola hepatica và Fasciola gigantica. Sán lá gan lớn ký sinh, sinh sản và trưởng thành ở động vật ăn cỏ như trâu, bò, cừu, được thải qua phân ra môi trường bên ngoài.
Người mắc bệnh do ăn sống các loại rau mọc dưới nước (như rau nhút, rau ngổ, rau cần, cải xoong,…) hoặc uống nước chưa nấu chín có nhiễm ấu trùng sán.
Hiện nay, không có vắc xin phòng ngừa bệnh do sán lá gan lớn. Các thuốc dự phòng giun sán trên thị trường không có tác dụng với loại sán này. Vì thế, người dân cần thực hiện không uống nước lã và không ăn rau sống mọc dưới nước
Liên quan đến vụ 10 người bị ngộ độc tại Quảng Nam, kết quả xét nghiệm cho thấy một mẫu thịt gà đông lạnh dương tính với vi khuẩn Salmonella. Vi khuẩn này thường gây ra triệu chứng bệnh đường tiêu hóa.