
Theo Bệnh viện Bệnh nhiệt đới (TP.HCM), nơi đây tiếp nhận 172 ca bị áp xe gan do sán lá gan lớn chỉ trong 3 tháng đầu năm.
Phụ nữ chiếm đa số
Bệnh viện Bệnh nhiệt đới TP.HCM cho hay, độ tuổi trung bình của các bệnh nhân sán lá gan nói trên là 40 tuổi, nữ chiếm 68%. Toàn bộ bệnh nhân đều có thói quen ăn rau sống.
Người bệnh đến từ 24 tỉnh thành khác nhau, thống kê có 44 trường hợp sống tại TP.HCM, 40 trường hợp sống ở các tỉnh duyên hải miền Trung. Thống kê ghi nhận 23 ca phức tạp phải nhập viện, trong đó có 2 thai phụ và 3 ca diễn tiến nặng, nguy cơ vỡ ổ áp xe.
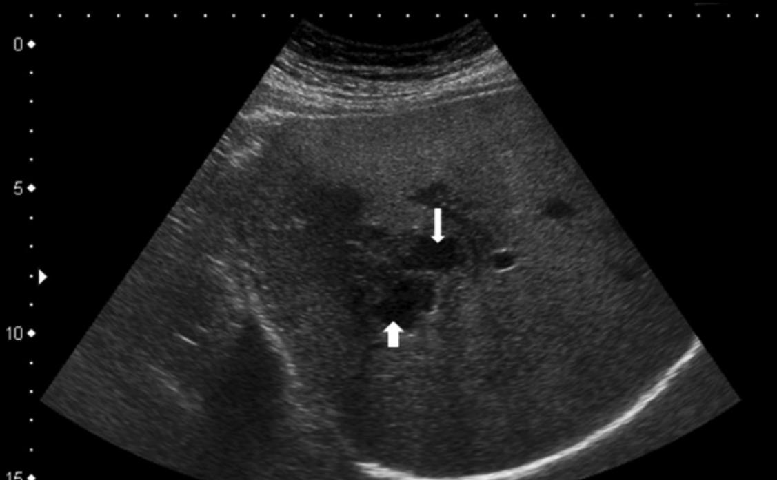
Hai thai phụ nhập viện với tình trạng đau bụng thượng vị tăng dần kèm sốt và buồn nôn. Công thức máu có tình trạng tăng bạch cầu ái toan và xét nghiệm huyết thanh chẩn đoán Fasciola spp. dương tính. Siêu âm ghi nhận ổ áp xe ở gan.
Người bệnh được điều trị với thuốc Triclabendazol, theo dõi sát diễn biến lâm sàng, tình trạng thai. Sau 1 tuần nằm viện, bệnh nhân hết sốt, hết đau bụng và được xuất viện hẹn theo dõi ngoại trú.

Tổ chức Y tế Thế giới (WHO) luôn xem Việt Nam là một vùng dịch tễ của sán lá gan lớn. Số ca nhiễm đã được ghi nhận ở 47/63 tỉnh thành trên cả nước.
Theo Bệnh viện Bệnh nhiệt đới TP.HCM, những người có thói quen ăn rau sống không rửa kỹ, sinh sống hoặc lui tới các tỉnh thành vùng duyên hải miền Trung có nguy cơ mắc bệnh.
Tuy nhiên, 172 bệnh nhân đến khám trong thời gian qua sống tại 24 tỉnh thành, cho thấy yếu tố địa phương không còn tập trung như trước đây. Bệnh có thể điều trị hiệu quả nếu được chẩn đoán sớm.
Triệu chứng khi nhiễm sán lá gan lớn
Sán lá gan lớn ký sinh, trưởng thành, sinh sản ở động vật ăn cỏ như trâu, bò, cừu được thải qua phân ra môi trường bên ngoài. Người mắc bệnh do ăn sống các loại rau mọc dưới nước (như rau nhút, rau ngổ, rau cần, cải xoong,…) hoặc uống nước chưa nấu chín có nhiễm ấu trùng sán.
Các biểu hiện của bệnh phản ánh hành trình của sán trong cơ thể người.
Giai đoạn sán đi qua gan, kéo dài từ 2-4 tháng: Người bệnh thường đau bụng vùng hạ sườn phải lan về phía sau hoặc vùng thượng vị, có thể đau âm ỉ, đôi khi dữ dội. Sốt nhẹ, thoáng qua hoặc có thể sốt kéo dài, sốt cao. Mệt mỏi, biếng ăn, sụt cân. Cảm giác đầy bụng, khó tiêu, buồn nôn. Nổi mề đay, sẩn da.
Một số trường hợp, ấu trùng sán di chuyển lạc chỗ và gây tổn thương thành ruột, màng phổi, cơ thăn,… Xét nghiệm máu có thể phát hiện tăng bạch cầu ái toan. Siêu âm bụng có thể thấy các tổn thương ở gan.
Giai đoạn sán trưởng thành ở ống mật, kéo dài nhiều năm: Người bệnh thường sốt, ăn không ngon. Một số người bị biến chứng tắc nghẽn đường mật có triệu chứng vàng da, sốt, đau bụng từng cơn. Siêu âm bụng phát hiện một khối mềm sáng gây tắc nghẽn đường mật ngoài gan.
Các bác sĩ khuyến cáo, không uống nước lã hoặc ăn rau sống mọc dưới nước là các biện pháp hữu hiệu để phòng tránh bệnh sán lá gan lớn. Hiện không có vắc xin phòng ngừa bệnh này.


Áp lực ở 'thành trì cuối cùng' giành giật sự sống cho bệnh nhân
