
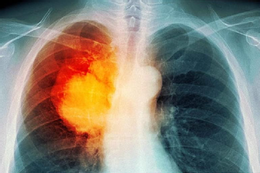
Thổi nến kiểm tra phổi
Bạn có thể thổi một ngọn nến cách xa 15cm không? Nếu bạn không thể dập tắt ngọn lửa, hãy đi kiểm tra sức khỏe.

Cách làm này có tên là thử nghiệm Snider nhằm đánh giá sơ bộ về chức năng hô hấp. Nhóm nghiên cứu đã tiến hành thử nghiệm trên 126 bệnh nhân. Theo đó, 89% số người không thể thổi nến từ khoảng cách 7,5cm có chức năng phổi kém. Những người thổi được nến xa 15cm có phổi ổn định.
Kết quả tiếp tục được khẳng định ở 200 lần kiểm tra ở các nam bệnh nhân mắc vấn đề về phổi.
Đo vòng eo xác định nguy cơ bệnh tiểu đường
Cắt một đoạn dây dài bằng chiều cao của bạn rồi chia đôi. Sau đó, bạn quấn dây quanh eo bạn (vị trí cao trên rốn khoảng 2,5cm).
Nếu hai đầu của sợi dây không gặp nhau, mức mỡ nội tạng của bạn quá cao. Bạn có nguy cơ mắc bệnh tiểu đường loại 2, bệnh tim và chứng ngưng thở khi ngủ cao hơn.
Bước lên, bước xuống để đo thể lực
Bạn bước lên rồi bước xuống, đi từng bước nhỏ trong ba phút, sau đó đứng yên và đo nhịp tim trong một phút. Nếu nam giới từ 46 tới 55 tuổi có nhịp tim là 117-122 nhịp/phút, thể lực của họ dưới mức trung bình. Với nữ giới cùng lứa tuổi, nhịp tim là 121-129 nhịp/phút cho thấy họ có thể lực không tốt.
Plank kiểm tra sức mạnh cốt lõi
Plank phổ biến nhất là giữ cơ thể dạng tấm ván như thể sắp chống đẩy, với trọng lượng cơ thể tập trung ở cẳng tay, khuỷu tay và ngón chân. Khuỷu tay của bạn phải khép vào trong, với vai ngay phía trên khuỷu tay.
Đây là một bài kiểm tra sức mạnh cốt lõi. Nếu bạn chỉ giữ được cơ thể trong tư thế này dưới 45 giây, đó là một điềm xấu.
Đứng một chân
Bài tập cho biết khả năng linh hoạt của cơ thể. Bạn hãy đứng một chân và nhắm mắt lại. Một người có sức khỏe bình thường có thể giữ vị trí này ít nhất 5 giây.
Gập người đánh giá lưng, hông
Bạn hãy cúi gập người, giữ thẳng đầu gối xem tay có thể chạm lòng bàn chân hay không. Đây là bài kiểm tra gân kheo, hông và lưng dưới có linh hoạt không.


Dấu hiệu ung thư phổi không liên quan đến đường hô hấp
