
Sau khi phát hiện dấu hiệu bất thường, bệnh nhân 36 tuổi đến khám tại khoa Răng Hàm Mặt, Bệnh viện Đa khoa tỉnh Bắc Giang, hồi giữa tháng 6.
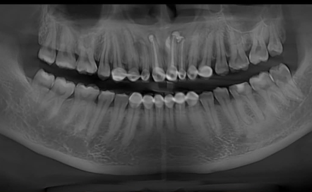
Bác sĩ phát hiện vùng răng cửa hàm trên của chị có khối phồng kích thước 3x2cm, sờ căng tức, có dấu hiệu bóng nhựa, răng giả từ răng 14-24 (8 chiếc răng). Bác sĩ chẩn đoán bệnh nhân bị nang xương hàm, chỉ định phẫu thuật cắt nang răng vùng cửa hàm trên.

Bác sĩ chuyên khoa I Lê Thị Hà, Trưởng khoa Răng Hàm Mặt, Bệnh viện đa khoa tỉnh Bắc Giang, cho biết nang là một hốc bệnh lý trong xương hàm, có chứa dịch loãng hoặc nửa loãng hoặc khí, được lót bằng lớp tế bào biểu mô nhưng không phải luôn luôn có.
Nang xương hàm được tạo thành bởi nguyên nhân do răng hoặc không do răng và các loại nang bẩm sinh. Trong đó, nang xương hàm do răng là một tình trạng bệnh lý phổ biến nhất, thường gặp nhất.
Nang xương hàm cũng được xem là rủi ro nguy hiểm nhất của bọc răng sứ, bên cạnh một số rủi ro khác từ việc làm đẹp này như hôi miệng, viêm tủy không hồi phục, viêm quanh cuống cấp...
Các bác sĩ khuyến cáo làm răng sứ thẩm mỹ chỉ nên thực hiện ở những răng không có nhiều sai lệch xương. Với răng nhiễm Tetra nặng, răng đã điều trị tủy hoặc tổn thương nhiều tổ chức cứng của răng, nên thực hiện ở cơ sở uy tín, có kinh nghiệm.
Khi thấy có dấu hiệu bất thường ở vùng xương hàm mặt, người bệnh cần thăm khám bác sĩ kịp thời để phát hiện sớm khối u hàm mặt. Điều này giúp tránh tình trạng để u nang hàm phát triển gây ra những triệu chứng nặng và gây biến dạng khuôn mặt.
