
Các bác sĩ Khoa Phẫu Thuật Tiêu hóa - Gan mật tụy, Bệnh viện Bạch Mai (Hà Nội), cho biết bệnh nhân H.H.L (38 tuổi) gặp tai nạn hi hữu này sau ba năm đặt dụng cụ tránh thai.
Trước khi vào viện, chị bị đau bụng vùng chậu dưới rốn âm ỉ, kèm đi ngoài ra máu. Trong suốt 3 năm đặt vòng tránh thai chị không đi kiểm tra lại.
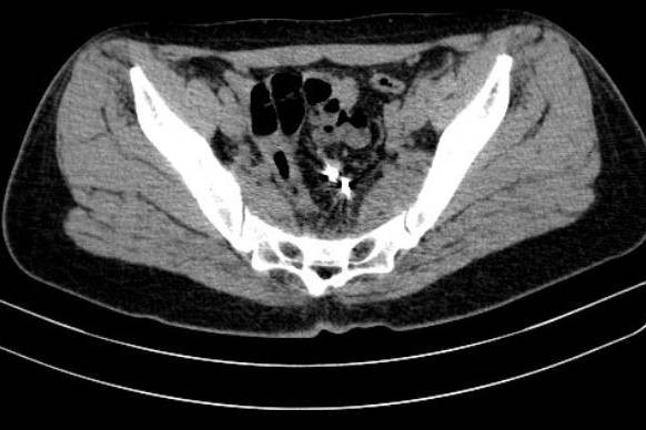
Sau khi có kết quả xét nghiệm, chiếu chụp, các bác sĩ quyết định phẫu thuật để lấy vòng tránh thai lạc chỗ và xử lý chỗ thủng đại tràng cho người phụ nữ này. Bệnh nhân được xuất viện sau 6 ngày.

Theo bác sĩ Nguyễn Hàm Hội, Bệnh viện Bạch Mai, thủng tử cung tương đối hiếm gặp nhưng là một biến chứng nghiêm trọng và nguy hiểm, có thể xảy ra do đặt dụng cụ tránh thai không đúng cách hoặc sau nhiều năm vật này bị thay đổi vị trí.
Sử dụng phương pháp đặt vòng tránh thai là biện pháp tránh thai an toàn và hiệu quả, với tỷ lệ 98-99%. Do đó, nhiều phụ nữ lựa chọn phương pháp này bởi khả năng sử dụng lâu dài, ít có nguy cơ gây hại cho cơ thể, quá trình đặt vòng đơn giản và chi phí tương đối thấp. Người mang vòng tránh thai vẫn có thể sinh con sau khi tháo bỏ dụng cụ này.
Tuy nhiên, dụng cụ tử cung có thể di chuyển xuyên thủng tử cung với tỷ lệ từ 1,3-1,6/1.000 lần đặt. Sau khi xuyên qua tử cung, dụng cụ này có thể rơi vào ổ bụng tự do hoặc nằm trong khung chậu, hoặc có thể xuyên thủng tiếp vào các cấu trúc lân cận như bàng quang, đại tràng, ruột non và hình thành các đường rò tử cung - bàng quang hoặc tử cung - ruột.
Các triệu chứng lâm sàng có thể gặp là đau bụng vùng hạ vị, sốt, tiêu chảy hoặc xuất huyết tiêu hóa. Một số trường hợp có thể gây tắc ruột, hoại tử ruột. Khi có tổn thương niệu quản, bàng quang, người bệnh có thể gặp các triệu chứng như tiểu khó, tiểu nhiều lần, tiểu máu, nhiễm khuẩn tiết niệu tái phát nhiều lần…
