
Ăn thịt chưa nấu chín có thể gây ra những rủi ro nghiêm trọng cho sức khỏe. Mới đây, Tiến sĩ Sam Ghali, bác sĩ cấp cứu tại Đại học Florida Health (Mỹ), đã chia sẻ một trường hợp nhiễm ký sinh trùng nặng sau khi ăn thịt lợn.
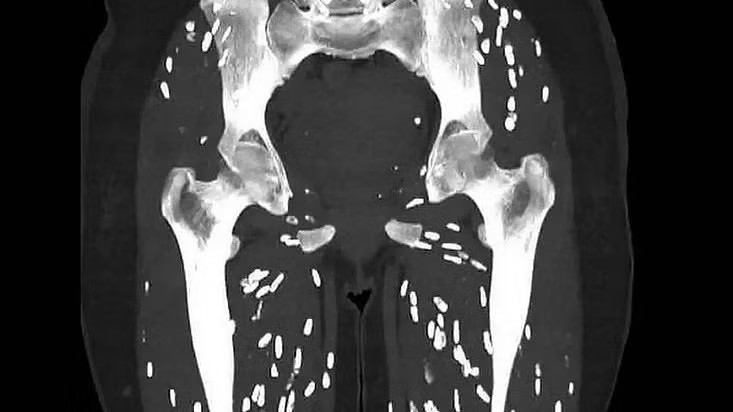
Tiến sĩ Ghali đăng hình CT chân của người bệnh kèm chú thích: "Đây là một trong những bản chụp đáng sợ nhất mà tôi từng thấy". Phim cho thấy sự hiện diện của bệnh sán dây do Taenia solium (sán dây lợn) gây ra.

“Người bệnh ăn phải nang sán trong thịt lợn nấu chưa chín. Sau vài tuần (khoảng 5-12 tuần), những nang sán đó phát triển trong đường tiêu hóa thành sán dây trưởng thành tiếp tục đẻ trứng. Tình trạng này được gọi là bệnh sán dây ruột”, Tiến sĩ Ghali giải thích.
Tiến sĩ người Ấn Độ Pranav Honnavara Srinivasan, chuyên gia cao cấp về tiêu hóa, chia sẻ với Indian Express: “Ăn thịt chưa nấu chín có thể khiến mọi người tiếp xúc với nhiều mầm bệnh có hại, bao gồm vi khuẩn, ký sinh trùng và virus dẫn tới các bệnh liên quan tới thực phẩm”.
Các tác nhân gây bệnh trong thịt chưa nấu chín
Salmonella: Đây là một trong những loại vi khuẩn nổi tiếng nhất liên quan đến gia cầm chưa nấu chín, gây ra các triệu chứng như tiêu chảy, sốt, đau bụng và nôn mửa.
E. coli: Một số chủng E. coli được tìm thấy trong thịt bò xay chưa nấu chín và có thể gây ra tình trạng rối loạn tiêu hóa bao gồm tiêu chảy ra máu, đau bụng và nôn mửa.
Campylobacter: Hay thấy ở gia cầm nấu chưa chín, loại vi khuẩn này dẫn tới tiêu chảy (thường có máu), sốt và đau bụng. Các triệu chứng xuất hiện từ 2 đến 5 ngày sau khi người bệnh ăn thịt và có thể kéo dài tới 1 tuần.
Listeria monocytogenes: Vi khuẩn này có thể dẫn đến viêm màng não hoặc nhiễm trùng huyết, đặc biệt ở phụ nữ mang thai, trẻ sơ sinh, người già và người suy giảm miễn dịch. Các triệu chứng bao gồm sốt, đau nhức cơ và bất ổn đường tiêu hóa.
Toxoplasma gondii: Ký sinh trùng này thường được tìm thấy trong thịt lợn và thịt cừu nấu chưa chín, gây ra các triệu chứng giống cúm, sưng hạch bạch huyết và đau nhức cơ, biến chứng nghiêm trọng ở phụ nữ mang thai.
Cách bảo quản và chế biến thịt an toàn
“Vi khuẩn sinh sôi nhanh chóng trong khoảng từ 4 đến 60 độ C. Thịt nấu chưa chín hoặc bảo quản không đúng cách trong phạm vi này sẽ trở thành nơi sinh sôi của các tác nhân gây bệnh”, Tiến sĩ Srinivasan cho hay.
Hàm lượng nước cao trong thịt tạo ra môi trường lý tưởng cho vi khuẩn phát triển. Giàu protein và chất béo, thịt cung cấp nhiều chất dinh dưỡng cho vi khuẩn và ký sinh trùng sinh sôi, làm tăng nguy cơ mắc bệnh khi nấu chưa chín. Việc xử lý hoặc bảo quản kém cũng có thể khiến mầm bệnh lây lan từ thịt sống sang các loại thực phẩm, đồ dùng, bề mặt khác.
Bởi vậy, hãy để thịt sống tách biệt với thực phẩm ăn liền như rau củ quả. Thịt sống nên để ở ngăn thấp nhất của tủ lạnh tránh nước thịt nhỏ giọt vào các thực phẩm khác. Thịt nên giữ ở khoang 4 độ C hoặc thấp hơn cho đến khi chuẩn bị nấu.
Sử dụng thớt, đồ dùng và đĩa riêng cho thực phẩm sống và chín để ngăn ngừa sự lây lan của vi khuẩn có hại. Bạn cũng cần rửa tay, thớt, dao và mặt bàn bằng nước xà phòng nóng sau khi chế biến thịt sống.


Thói quen uống cà phê của nhiều người gây hại cho sức khỏe
