“Sét đánh ngang tai” vì sự chủ quan
Thỉnh thoảng xuất hiện chán ăn, đầy bụng, đau bụng, táo bón, đi ngoài phân nhỏ, đi ngoài kèm máu, hoặc sụt cân bất thường..., đa số người dân chủ quan, lầm tưởng đó chỉ là biểu hiện của rối loạn tiêu hóa thông thường. Sự chủ quan này đã khiến không ít trường hợp đến Bệnh viện Đa khoa (BVĐK) MEDLATEC khám, được bác sĩ tư vấn nội soi tiêu hóa và bất ngờ phát hiện ra ung thư từ chính những triệu chứng tưởng chừng dễ bỏ qua này.
![]() |
| Hình ảnh theo dõi ung thư trực tràng của bệnh nhân đến nội soi đại trực tràng vừa được phát hiện tại BVĐK MEDLATEC ngày 10/11 vừa qua. |
Nhiều năm nay, bệnh nhân L.L.A (50 tuổi, Bắc Ninh) thỉnh thoảng xuất hiện đau bụng vùng hạ vị quặn từng cơn sau khi ăn đồ lạ. Ngoài ra, chị A không có khó chịu gì khác như không nôn, không sốt, không gầy sụt cân. Thấy tần suất đau nhiều hơn nên bệnh nhân đi khám, nội soi đại trực tràng phát hiện bị ung thư đại tràng ngang.
Có tiền sử hoàn toàn khỏe mạnh nhưng gần đây, bệnh nhân P.V.Đ (28 tuổi, Thanh Hóa) xuất hiện triệu chứng ợ hơi, ợ chua, đầy bụng, ăn uống kém.
Để khắc phục những triệu chứng khó chịu đó, bệnh nhân tự ý mua thuốc dạ dày về uống, tình trạng bệnh có đỡ nhưng không khỏi hẳn. Khi đến BVĐK MEDLATEC nội soi dạ dày thì “ngã ngửa” vì kết quả khám chẩn đoán ung thư dạ dày.
Vì sao nên nội soi trong kiểm tra bệnh đường tiêu hóa?
Bác sĩ Bùi Văn Long - Chuyên khoa Tiêu hóa, BVĐK MEDLATEC cho biết: Để chẩn đoán ung thư đường tiêu hóa ngoài thăm khám bằng "nhìn, sờ, gõ, nghe", thì yếu tố tiên quyết chẩn đoán chính xác bệnh là sử dụng các kỹ thuật cận lâm sàng như siêu âm, chụp X-quang, nội soi, chụp cắt lớp vi tính, xét nghiệm máu, xét nghiệm phân, test hơi thở… Trong đó, nội soi là phương pháp cần thiết và có mặt trong hầu hết các trường hợp kiểm tra bệnh ở đường tiêu hóa.
![]() |
| Nội soi - kỹ thuật phản ánh trung thực sức khỏe đường tiêu hóa. |
Khi thực hiện nội soi, bác sĩ sẽ sử dụng một ống nội soi mềm kích thước nhỏ, có gắn đèn chiếu sáng và camera đi qua đường miệng (nếu nội soi thực quản - dạ dày - hành tá tràng), qua hậu môn (nếu nội soi đại trực tràng). Camera gắn ở ống nội soi sẽ giúp thu hình trực tiếp bên trong lòng ống tiêu hóa và chiếu lên màn hình máy tính.
Thông qua hình ảnh trên máy tính, bác sĩ sẽ có cơ sở chẩn đoán chính xác tình trạng bệnh nhân. Trong quá trình nội soi, nếu phát hiện có bất thường, bác sĩ dễ dàng bấm sinh thiết để chẩn đoán xác định những tổn thương này nhằm có hướng xử lí kịp thời, chính xác cho người bệnh.
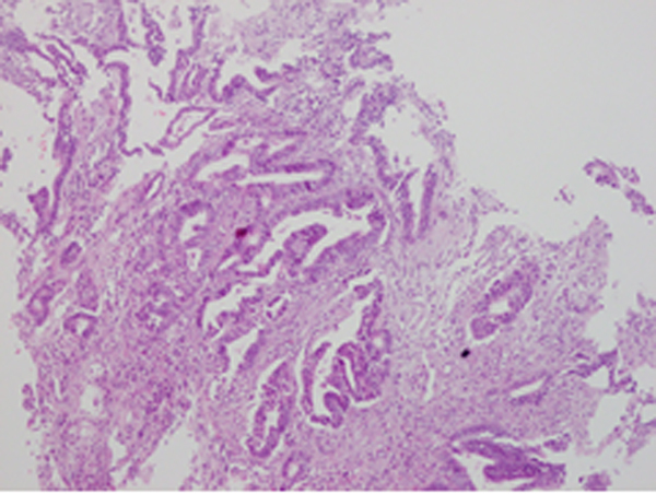
![]() |
| Kết quả giải phẫu bệnh sau bấm sinh thiết, kết luận ung thư biểu mô tuyến biệt hóa của bệnh nhân nội soi đại trực tràng thấy có bất thường đến khám tại MEDLATEC ngày 10/11. |
Kỹ thuật này không gây đau đớn, khó chịu cho người bệnh, nhất là khi kết hợp với thủ thuật gây mê, lúc đó người bệnh sẽ được ngủ trong suốt quá trình nội soi và tỉnh ngay khi kết thúc kỹ thuật.
Nhờ những ưu điểm đó, nội soi được xem như tấm gương phản ánh trung thực sức khỏe đường tiêu hóa, kể cả ung thư ở giai đoạn sớm hoặc rất sớm, khi mới chỉ xuất hiện một số đám tế bào nhỏ khu trú tại lớp nông trên bề mặt ống tiêu hóa. Việc phát hiện sớm này quyết định hiệu quả điều trị cũng như nâng cao chất lượng sống cho người bệnh.
Ưu đãi nội soi ở MEDLATEC
BVĐK MEDLATEC quy tụ đội ngũ chuyên khoa, bác sĩ giàu kinh nghiệm trực tiếp thăm khám, tư vấn và phục vụ nội soi. Bệnh viện trang bị đồng bộ hệ thống máy móc hiện đại như máy nội soi tiêu hóa 170 Olympus có sử dụng kỹ thuật nội soi bằng dải tần ánh sáng hẹp (NBI), chụp CT 128 dãy, MRI, hệ thống máy móc xét nghiệm đạt tiêu chuẩn quốc tế ISO 15189:2012... cho kết quả khám, chẩn đoán chính xác và hạn chế bỏ sót tổn thương.
Tại đây, các chuyên gia, bác sĩ đã xây dựng các gói nội soi đường tiêu hóa cơ bản/toàn diện với ưu đãi hấp dẫn, giúp khách hàng dễ dàng lựa chọn phù hợp với nhu cầu hoặc tình trạng sức khỏe.
![]() |
| Đặt lịch khám chuyên gia, khách hàng được hưởng ngay nhiều chương trình ưu đãi hấp hẫn tại MEDLATEC |
Nằm trong chuỗi chương trình “Vì sức khỏe cộng đồng”, từ nay đến hết năm 2020, khi khách hàng đặt lịch khám chuyên gia tiêu hóa được hưởng ngay ưu đãi lên tới 20% chi phí dịch vụ nội soi thực quản - dạ dày - tá tràng hoặc đại trực tràng.
Mọi thông tin chi tiết, liên hệ tổng đài: 1900 56 56 56.
Thế Định



