
Mới đây, anh T.H.T (44 tuổi) đang làm việc tại công trường xây dựng bỗng đột ngột tím tái, khó thở và ngất đi. Đồng nghiệp đưa anh đến Bệnh viện quận 7 (TP.HCM) trong tình trạng ngưng tim ngưng thở, mạch và huyết áp không đo được.
Bệnh nhân được hồi sức tim phổi nâng cao với ấn tim ngoài lồng ngực, bóp bóng giúp thở, đặt nội khí quản, sốc điện 3 lần. Đo lại điện tim xác định đây là tình trạng nhồi máu cơ tim cấp.
Sau hồi sức khoảng 15 phút, tim bệnh nhân đập lại, các bác sĩ hội chẩn qua điện thoại với chuyên gia và quyết định chuyển anh T. sang Bệnh viện Nguyễn Tri Phương. Thời gian di chuyển khoảng 15 phút.

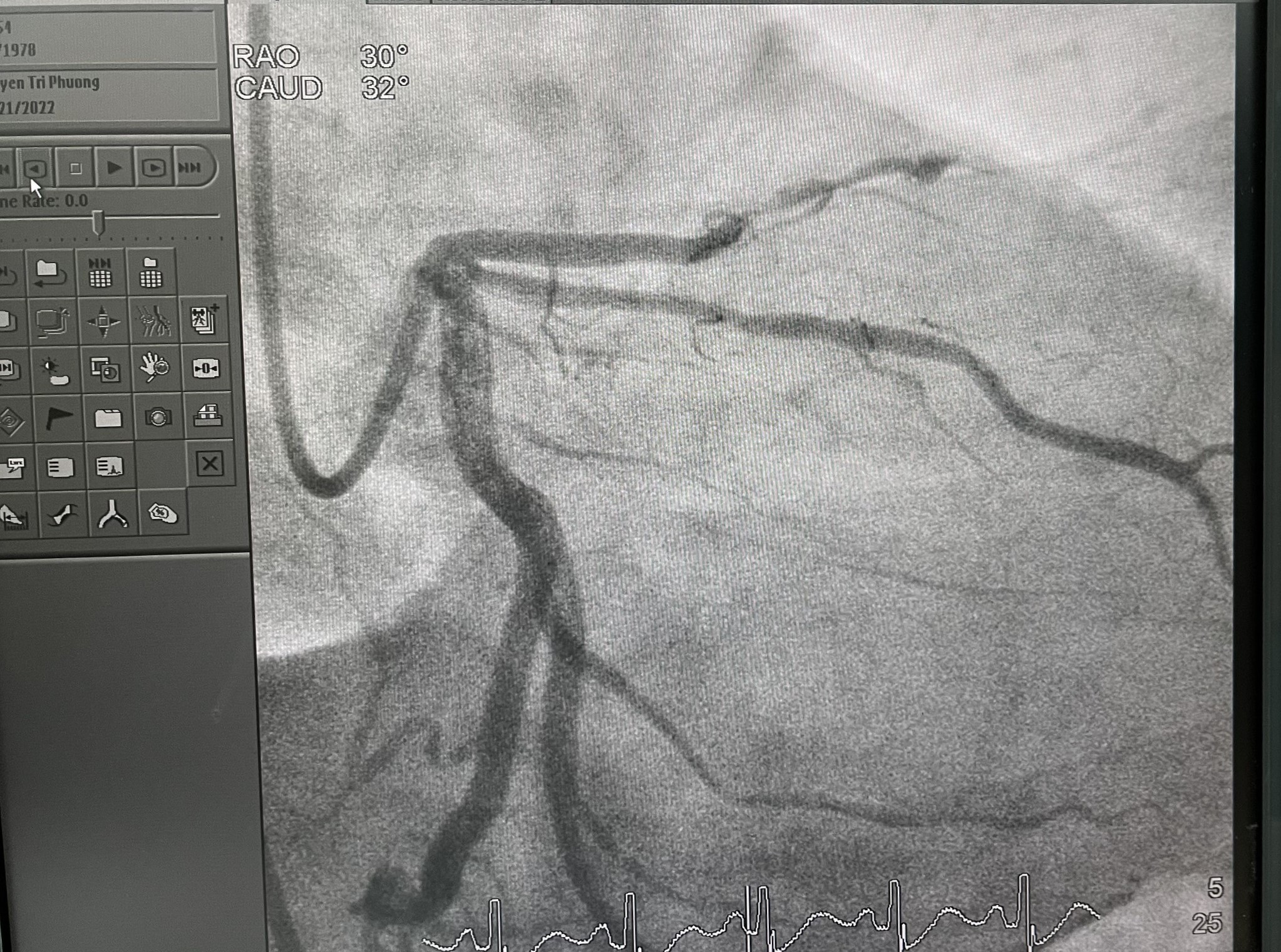
Tại đây, bệnh nhân được chỉ định phải tái thông mạch vành cấp cứu. Kết quả chụp mạch vành cho thấy người bệnh tắc nhánh động mạch liên thất trước (động mạch lớn nhất nuôi tim). Ê-kip đã tái thông bằng cách đặt 1 giá đỡ trong lòng động mạch vành. Thủ thuật kéo dài khoảng 15 phút.
Anh T. được chuyển về Khoa Tim mạch can thiệp theo dõi. Khoảng 1 ngày sau, tình trạng ổn định hơn và được rút nội khí quản. Hiện, người đàn ông 44 tuổi đã hết đau ngực, tự thở khí trời, đi lại bình thường, mạch và huyết áp ổn định; điện tim, siêu âm tim và các xét nghiệm cận lâm sàng bình thường.
Đây không phải trường hợp hiếm gặp. Mới đây, ông N.N.Đ (58 tuổi) đang bơi bỗng bị đau ngực, khó thở. Khoảng 30 phút sau, người dân phát hiện ông tím tái nên gọi cấp cứu. Khi y tế tiếp cận, ông đã mê, ngưng tim ngưng thở, mạch và huyết áp không đo được.
Đội cấp cứu 115 tiến hành hồi sức tim phổi nâng cao với ấn tim ngoài lồng ngực, bóp bóng giúp thở, đặt nội khí quản ngay trên xe cứu thương, xử lý sốc điện 5 lần (có biểu hiện rung thất). Sau khoảng 50 phút, bệnh nhân có tim đập lại và chuyển ngay đến Bệnh viện Nguyễn Tri Phương.
Các bác sĩ nhận định đây là một ca nhồi máu cơ tim cấp, biến chứng ngưng tim ngoại viện đã hồi sức thành công. Kết quả chụp mạch vành cho thấy người bệnh bị tắc nhánh động mạch lớn nhất nuôi tim. Ê-kip can thiệp đã xử lý tái thông, đặt 1 giá đỡ trong lòng động mạch vành, hoàn thành trong 30 phút.
Tuy nhiên, bệnh nhân bị suy đa cơ quan sau ngưng tim ngưng thở kéo dài, tiếp tục điều trị tại Khoa Hồi sức tích cực. Bệnh nhân phải thở máy, lọc máu liên tục, kháng sinh và nuôi ăn qua đường tĩnh mạch. Tình hình tốt dần, sau 18 ngày, ông Đ. được cai máy thở và rút nội khí quản.
Theo tiến sĩ, bác sĩ Lê Cao Phương Duy, Phó Giám dốc Bệnh viện Nguyễn Tri Phương, đây là những trường hợp điển hình ngưng tim ngưng thở do rối loạn nhịp ở bệnh nhân nhồi máu cơ tim cấp.

Nhồi máu cơ tim cấp là một trong những nguyên nhân hàng đầu dẫn đến nhập viện và tử vong trên thế giới cũng như tại Việt Nam. Bệnh nhân thường dễ tử vong ở những giờ đầu tiên trước khi vào viện vì các biến chứng liên quan đến rối loạn nhịp.
Đặc biệt, khi xuất hiện ngưng tim ngoài bệnh viện, tỷ lệ tử vong lên đến trên 90%. Nếu được nhập viện và điều trị kịp thời, tỷ lệ tử vong giảm xuống còn 6 - 10%. Khi cơ tim bị hoại tử do thiếu máu cục bộ, có thể dẫn đến các biến chứng như phù phổi cấp, sốc tim, rối loạn nhịp, suy thận, thiếu máu não…
Do đó, 2 bệnh nhân nói trên đã được cứu sống và hồi phục ngoạn mục nhờ quy trình tiếp nhận, xử trí, điều trị hợp lý, chính xác.
Bác sĩ Duy lưu ý, nhiều nghiên cứu cho thấy, hơn 50% bệnh nhân có một yếu tố khởi phát xảy ra trước khi nhồi máy cơ tim như: vận động gắng sức, stress tâm lý, phẫu thuật, có bệnh lý nội khoa nặng. Bên cạnh đó, nhồi máu cơ tim có tần suất xảy ra cao vào buổi sáng, từ 6 giờ đến 11 giờ, đặc biệt là trong vòng 3 giờ đầu tiên sau khi ngủ dậy.
Những người có nguy cơ cao bị nhồi máu cơ tim như: từng được chẩn đoán bệnh mạch vành, có yếu tố nguy cơ của bệnh mạch vành như nam trên 45 tuổi, nữ trên 55 tuổi; thừa cân, béo phì; ít vận động thể lực; hút thuốc lá; tăng huyết áp; đái tháo đường; rối loạn lipid máu; stress về thể chất và tinh thần.


Tại sao nhiều người đau đầu, chóng mặt khi ngửi mùi hoa sữa?
