
Người phụ nữ 52 tuổi cho biết, u nang xuất hiện trên đầu từ khi bà còn nhỏ. Nhưng bệnh nhân giấu tên ở Bangalore, miền nam Ấn Độ, chưa bao giờ tìm cách cắt bỏ khối u.
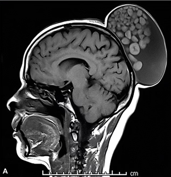
Công bố bức ảnh về khối u trên Radiology, bệnh viện cho biết, các mô phát triển bất thường trong u nang có kích thước khác nhau và giống như một túi sỏi. Viện Khoa học Y tế Cao cấp Sri Sathya Sai nhận định dạng bệnh này không phổ biến. Chụp cộng hưởng từ cho thấy khối u dài 15cm, rộng 10cm và cao 12cm.

Sau khi phẫu thuật cắt bỏ, ê-kíp ghi nhận, u nang chứa các phân tử giống như chất béo, các khối cầu chất sừng (loại protein giúp hình thành tóc, móng tay, lớp ngoài của da) và tóc trôi nổi trong chất dịch.
Kiểm tra bằng kính hiển vi xác nhận đó là u nang da - một dạng u quái nang trưởng thành. Bệnh nhân được theo dõi suốt 6 tháng sau khi loại bỏ khối u. Bà không bị tái phát trong giai đoạn này.
Theo Dịch vụ Y tế Quốc gia Anh (NHS), u nang da - không phải ung thư - phát triển từ tế bào phôi và chứa tóc, dịch, răng hoặc tuyến da. Các tế bào này chứa đủ mọi yếu tố cần thiết để biến thành bất kỳ loại mô nào.
Hiện vẫn chưa rõ tại sao hiện tượng kỳ lạ và thường vô hại này lại xảy ra. Các bác sĩ giải thích, u quái nang thường xuất hiện trên đầu và cổ nhưng có thể ở bất cứ nơi nào trên cơ thể. NHS thông tin, nếu u nang không gây ra triệu chứng, bệnh nhân có thể chỉ cần khám định kỳ để theo dõi.
Tuy nhiên, khi u nang gây ra các triệu chứng - như viêm, thay đổi màu sắc hoặc phát triển lớn hơn, gây đau - thì bệnh nhân cần phẫu thuật. Các bác sĩ có thể cắt hoàn toàn hoặc một phần khối u tùy thuộc vào nguy cơ tác động tới các cấu trúc lân cận.
U nang da là sự phát triển của một khối u dạng túi nằm trên hoặc trong da. Trong y học, các nhà chuyên môn còn gọi đây là u quái dạng nang, thường lành tính, chứa chất dịch hoặc bán rắn. U nang da xuất hiện trong quá trình phát triển của thai nhi hoặc ngay sau khi trẻ chào đời.
U nang xảy ra khi các lớp tế bào chuyên biệt không phát triển đúng cách và các tế bào lẽ ra ở bên ngoài cơ thể lại bị mắc kẹt bên trong, ví dụ như tế bào da, tuyến mồ hôi hoặc tóc, tích tụ theo thời gian.
