
Ngày 29/4, các bác sĩ Bệnh viện Hữu nghị Việt Đức (Hà Nội) cho biết bệnh nhân 17 tuổi, ở Hà Nội bị chấn thương tim nghiêm trọng do dị vật kim loại xuyên thấu.
Khi nhập viện, bệnh nhân tỉnh táo tuy nhiên, kết quả thăm khám nhanh chóng cho thấy tình hình nguy cấp: một dị vật kim loại sắc nhọn, dạng đinh ba tự chế, đâm thẳng từ phía sau vai trái, xuyên sâu vào lồng ngực. Đặc biệt, dị vật này vẫn còn cắm trong cơ thể, đập theo từng nhịp tim của bệnh nhân, nguy cơ đe dọa tính mạng bất kỳ lúc nào.
![]() |
![]() |
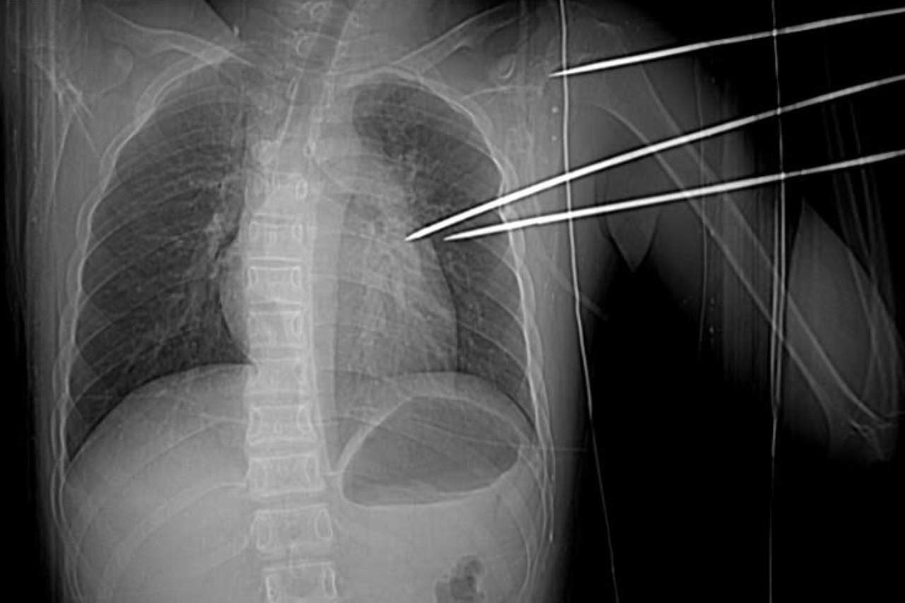
Hình ảnh chụp X-quang và cắt lớp vi tính cho thấy dị vật xuyên qua mặt sau vai trái và mô thùy trên phổi trái, đâm vào thành bên thất trái của tim, gây tràn máu màng tim.
Bác sĩ Nguyễn Văn Đàn, Khoa Ngoại Tim mạch và Lồng ngực, cho biết bệnh nhân được đưa vào phòng mổ cấp cứu. Các bác sĩ tiến hành mở ngực, ghi nhận khoang màng tim có khoảng 150g máu cục do dị vật gây vết thương ở thành bên thất trái.
Khi mở màng phổi kiểm tra, phát hiện dị vật cũng xuyên qua nhu mô phổi trái, gây tràn máu khoang màng phổi. Tổng lượng máu mất của bệnh nhân ước tính khoảng 500-600ml.
Các bác sĩ đã khâu cầm máu vết thương tim và vết thương phổi. Tuy nhiên, quá trình phẫu thuật gặp nhiều khó khăn do vết thương nằm sâu, thấp trong thành bên tim trái, buộc phải thay đổi vị trí tim trong lúc phẫu thuật. Điều này khiến huyết áp và mạch của bệnh nhân biến động liên tục.
Sau ca mổ, tới ngày 29/4, bệnh nhân đã tỉnh táo, được rút nội khí quản và chuyển về Khoa Ngoại Tim mạch và lồng ngực để tiếp tục theo dõi. Bệnh nhân duy trì huyết áp ổn định, không cần dùng thuốc trợ tim hay vận mạch.
Bác sĩ Đàn đánh giá đây là dấu hiệu khả quan đầu tiên. Bệnh nhân tiếp tục được chăm sóc tích cực, điều trị kháng sinh dự phòng nhiễm trùng và hướng dẫn tập vật lý trị liệu sớm để phục hồi chức năng hô hấp.




