
Theo thông tin Trung tâm Y học hạt nhân và Ung bướu, Bệnh viện Bạch Mai, Hà Nội, các bác sĩ đang theo dõi điều trị một trường hợp ung thư phổi tế bào nhỏ. Đây là căn bệnh ung thư tiên lượng rất xấu.
Bệnh nhân là bà N.T.L. (66 tuổi, trú tại Hà Nội) vào viện khám vì đau ngực trái, ho khan. Bệnh nhân ở nhà xuất hiện đau ngực trái tăng dần khoảng 15 ngày kèm theo ho khan, không sốt, không khó thở.
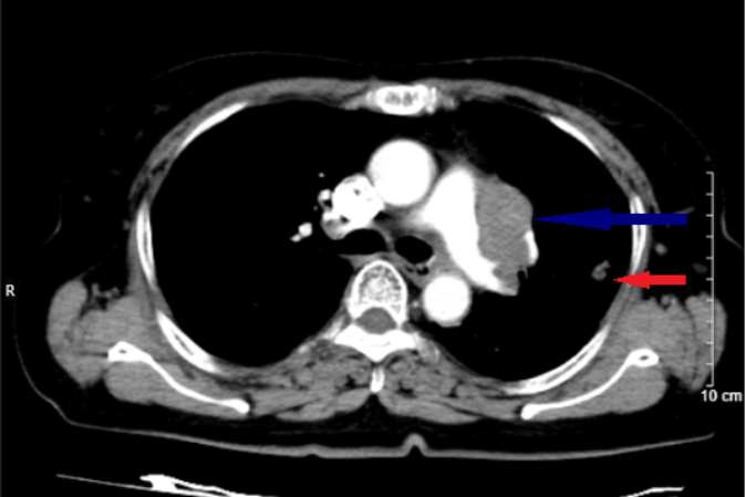
Bệnh nhân đi khám chụp X-quang tình cờ phát hiện khối u ở phổi trái nên được chuyển đến Bệnh viện Bạch Mai để khám, chẩn đoán và điều trị. Tại đây, bác sĩ chỉ định sinh thiết xuyên thành ngực khối u phổi dưới hướng dẫn chụp cắt lớp vi tính, kết quả mô bệnh học và hóa mô miễn dịch cho thấy bà bị ung thư biểu mô tế bào nhỏ.
Bệnh nhân có thể trạng kém, không thể tiến hành hóa xạ trị đồng thời. Vì vậy, bác sĩ chỉ định điều trị hóa chất trước để giảm bớt triệu chứng sau đó sẽ cân nhắc xạ trị.

Theo GS.TS Mai Trọng Khoa, nguyên Giám đốc Trung tâm Y học hạt nhân và Ung bướu, Bệnh viện Bạch Mai, ung thư phổi được chia thành ung thư phổi không tế bào nhỏ và ung thư phổi tế bào nhỏ.
Trong đó, ung thư phổi tế bào nhỏ chỉ chiếm khoảng 15% tổng số ca mắc ung thư phổi, khoảng 70% bệnh nhân được chẩn đoán đã ở giai đoạn muộn.
Mặc dù, ung thư phổi tế bào nhỏ đáp ứng tốt với hóa trị (tỷ lệ đáp ứng là 70-80% với khoảng 50% bệnh nhân đáp ứng hoàn toàn với hóa trị ở giai đoạn khu trú) nhưng tỷ lệ sống sau 5 năm chỉ từ 5% đến 10% do bệnh tái phát.
Ung thư phổi tế bào nhỏ giai đoạn khu trú nếu không được điều trị thời gian sống khoảng 2 đến 4 tháng, ở giai đoạn muộn là 6-9 tuần.


Loại rau bổ phổi mọc dại nhiều nơi ở Việt Nam
