
Bác sĩ Nguyễn Văn Sơn, Khoa Can thiệp tim mạch, Bệnh viện Quân y 103 (Hà Nội), ngày 22/12 cho biết các bác sĩ trong đơn vị này vừa can thiệp cấp cứu bệnh nhân nhồi máu cơ tim cấp có bất thường giải phẫu động mạch vành rất hiếm gặp.
Bệnh nhân là người đàn ông 63 tuổi, vào viện trong tình trạng đau ngực trái dữ dội, chẩn đoán nhồi máu cơ tim cấp do tắc một nhánh động mạch vành nuôi tim. Ông có tiền sử tăng huyết áp, đột quỵ não nhiều năm trước.
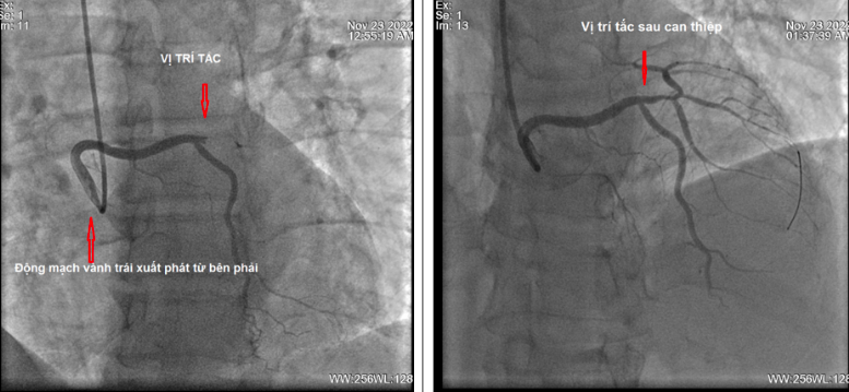
Sau khi được xử trí cấp cứu ban đầu, bệnh nhân được đưa ngay vào phòng can thiệp mạch để chụp và can thiệp tái thông mạch vành bị tắc. Kết quả chụp động mạch vành lại cho thấy bệnh nhân có giải phẫu động mạch vành trái xuất phát rất bất thường.

Động mạch vành trái bị tắc hoàn toàn một nhánh rất lớn, nhưng động mạch này không xuất phát bình thường từ xoang vành trái mà lại xuất phát từ xoang vành phải. Đây là một trường hợp rất hiếm gặp, gây nhiều khó khăn khi chụp và can thiệp động mạch vành. Đó là do các ống thông chụp động mạch vành trái thông thường không thể tiếp cận được lỗ vào của động mạch vành trái.
Kíp kỹ thuật đã hội chẩn và quyết định sử dụng loại ống thông can thiệp dành cho động mạch vành phải, kết hợp với một loại ống thông chuyên dụng nhỏ hơn đi bên trong để tiếp cận động mạch vành trái.
Cuối cùng, sau khi tiếp cận được lỗ vào động mạch vành trái, nong chỗ tắc bằng bóng, các nhánh động mạch vành đều lưu thông máu tốt, bệnh nhân đỡ đau ngực ngay sau thủ thuật.
TS.BS Trần Đức Hùng, Chủ nhiệm Khoa Can thiệp Tim mạch, cho biết bất thường lỗ xuất phát động mạch vành là một dị tật bẩm sinh hiếm gặp với tỷ lệ dưới 1% các trường hợp được chụp động mạch vành. Bất thường này thường gây ra thiếu máu, nhồi máu cơ tim thậm chí đột tử.
Ở những người bệnh này khi bị nhồi máu cơ tim, phẫu thuật bắc cầu chủ vành kèm sửa chữa dị tật bất thường của động mạch vành hoặc can thiệp nội mạch bằng nong bóng, đặt giá đỡ động mạch là biện pháp có thể được lựa chọn.
Sau một tuần điều trị, bệnh nhân hết đau ngực, các chỉ số xét nghiệm cải thiện rõ rệt và được ra viện.
Đau ngực - triệu chứng điển hình của nhồi máu cơ tim cấp
Nhồi máu cơ tim cấp là một trong những nguyên nhân hàng đầu gây tử vong ở mọi độ tuổi, đặc biệt là những người mắc bệnh mạch vành (mạch máu nuôi xung quanh quả tim). Bệnh lý nguy hiểm tính mạng, xảy ra khi dòng máu đến cơ tim đột ngột bị ngừng trệ, dẫn đến thiếu máu mô cơ tim. Bệnh này thường là kết quả của sự tắc nghẽn của hệ thống mạch vành.
Triệu chứng nhồi máu cơ tim cấp rất đa dạng, điển hình là đau thắt ngực và khó thở. Các triệu chứng bao gồm: Cảm giác nặng ngực hoặc thắt bóp trong tim; đau vùng ngực lan ra sau lưng, lên hàm hoặc cánh tay trái, kéo dài hơn vài phút hoặc có thể hết sau đó tái phát; khó thở; vã mồ hôi; buồn nôn và nôn; hồi hộp, cảm giác ngột thở; nhịp tim nhanh; mệt mỏi.
Ăn nhiều thực phẩm chiên rán và chế biến sẵn, thịt, thực phẩm hằng ngày chứa nhiều chất béo không có lợi và chất béo chuyển hóa bão hòa gây nguy cơ cao bị nhồi máu cơ tim cấp. Ngoài ra, các yếu tố nguy cơ khác gây nhồi máu cơ tim cấp như béo phì, huyết áp cao, đường máu cao, hút thuốc lá, tuổi cao, stress, ít hoạt động thể lực, tiền sản giật, thuốc...
Đặc biệt, với nhồi máu cơ tim cấp, nam thường có nguy cơ mắc cao hơn nữ và ở độ tuổi sớm hơn. Nếu tiền sử gia đình bạn có người xuất hiện bệnh tim mạch sớm trước 55 tuổi với nam và 65 tuổi với nữ thì bạn có nguy cơ cao hơn mắc nhồi máu cơ tim cấp.
