
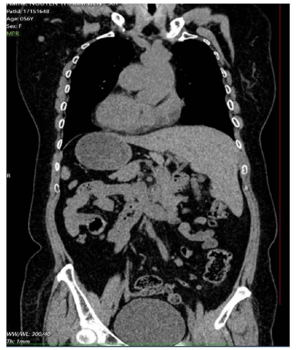
Bệnh nhân có phủ tạng đảo ngược hoàn toàn với trái tim nằm bên lồng ngực phải. Đây là dạng dị tật hiếm gặp, tỷ lệ 1/10.000 dân.
Theo Bệnh viện Quân y 175 (TP.HCM), bệnh nhân thứ nhất là anh N.K.V (34 tuổi). Anh V. có tiền sử viêm đường hô hấp tái diễn nhiều lần. Các biểu hiện chảy nước mũi, ho khạc đàm nhầy mủ, sốt thường giảm sau một đợt kháng sinh, chống viêm rồi tái phát.
Người bệnh thường xuyên nhập viện vì các triệu chứng nhiễm trùng phổi và suy hô hấp. Năm 27 tuổi, anh V. kết hôn nhưng đến nay chưa có con. Xét nghiệm tinh dịch đồ cho thấy có sự sụt giảm số lượng tinh trùng hoạt động.
Trường hợp thứ 2 là anh N.V.T (45 tuổi) cũng nhập viện vì viêm phổi, giãn phế quản và suy hô hấp. Tình trạng viêm hô hấp mạn tính tái diễn nhiều đợt từ thời thiếu niên. Năm 25 tuổi, anh V. được phát hiện phủ tạng bị đảo ngược. Năm 40 tuổi, anh khó thở liên tục, tăng dần theo thời gian. Người này đã có 2 con khỏe mạnh.
Trao đổi với VietNamNet, Tiến sĩ, bác sĩ Nguyễn Hải Công, Chủ nhiệm Khoa Lao và bệnh phổi, Bệnh viện Quân y 175, cho biết cả hai trường hợp trên đều có phủ tạng bị đảo ngược vì mắc hội chứng Kartagener hiếm gặp. Hội chứng này có biểu hiện đặc trưng với bộ 3 tổn thương: giãn phế quản, viêm xoang mạn tính và đảo ngược phủ tạng.
“Toàn bộ nội tạng của hai người bệnh có vị trí nghịch đảo, giống như hình ảnh soi gương của người bình thường: trái tim lệch sang phải, còn gan chuyển sang trái”, bác sĩ giải thích.

Theo bác sĩ Công, hội chứng Kartagener là rối loạn di truyền lặn trên nhiễm sắc thể thường hiếm gặp, gây khiếm khuyết trong hoạt động của lông mao ở nhiều cơ quan. Chức năng lông mao bình thường sẽ góp phần bảo vệ đường hô hấp và khả năng vận động của tinh trùng, đồng thời đảm bảo định hướng nội tạng thích hợp trong quá trình tạo phôi.
Ở hội chứng Kartagener, đột biến gene làm suy giảm khả năng vận động của lông mao, dẫn đến viêm phổi, viêm xoang tái diễn, vô sinh và sai lệch vị trí trái - phải của các tạng.
Vì vậy, chẩn đoán bệnh nhân mắc hội chứng Kartagener chủ yếu dựa vào các tiêu chuẩn lâm sàng do bác sĩ xác định với 3 biểu hiện giãn phế quản, viêm xoang mạn tính và đảo ngược phủ tạng. Tuy nhiên, khoảng 50% người mắc hội chứng này có vị trí phủ tạng bình thường. Các xét nghiệm gene thường khó thực hiện và tốn kém.
Tại Bệnh viện Quân y 175, hai bệnh nhân đặc biệt trên đã được điều trị hiệu quả. Anh T. xuất viện sau thời gian áp dụng phác đồ kháng sinh, long đờm, chống viêm, giãn phế quản, thở máy không xâm nhập.
Trong khi đó, bệnh nhân V. còn phụ thuộc vào chăm sóc y tế, duy trì kháng sinh đường uống từng đợt, long đàm, oxy liệu pháp và thở máy không xâm nhập.

Bác sĩ Công cho biết phương pháp điều trị hô hấp cho bệnh nhân Kartagener bao gồm vật lý trị liệu hô hấp, thuốc long đờm, kháng sinh, oxy liệu pháp và thở máy hỗ trợ khi có suy hô hấp. Những người thường xuyên nhiễm trùng phổi cần dùng kháng sinh dự phòng liều thấp kéo dài, tiêm phòng vắc xin cúm và phế cầu định kỳ. Ngoài ra, người bệnh cần tránh phơi nhiễm với các tác nhân có hại như khói thuốc lá, bụi, lạnh...
Bệnh nhân nên được tư vấn và áp dụng các biện pháp hỗ trợ sinh sản ở giai đoạn sớm nếu có bất thường về chức năng sinh sản. Suy hô hấp thường gặp ở giai đoạn cuối và là nguyên nhân gây tử vong ở bệnh nhân mắc Kartagener.
Bác sĩ Công khuyến cáo, khi có có triệu chứng viêm xoang, viêm phế quản mạn tính, tái diễn, người bệnh cần được thăm khám, chẩn đoán sớm và điều trị. Từ đó, giúp tăng chất lượng cuộc sống cho người bệnh.

Bệnh nhân có phủ tạng đảo ngược hoàn toàn với trái tim nằm bên lồng ngực phải. Đây là dạng dị tật hiếm gặp, tỷ lệ 1/10.000 dân.