
Các bác sĩ cho biết cổ của bệnh nhân yếu đến mức không thể tự nâng đầu lên. Phim chụp cho thấy phần cổ của anh biến dạng với khối phồng rõ rệt, do các đốt sống bị kéo giãn bất thường trong thời gian dài.
Theo báo cáo y tế, bệnh nhân đã chịu đựng cơn đau cổ nghiêm trọng suốt 6 tháng trước khi tìm đến bệnh viện. Anh cũng gặp khó khăn khi nuốt dẫn đến ăn ít và sụt cân nghiêm trọng.
Trước đây, người bệnh từng là một đứa trẻ năng động nhưng sau khi bị bắt nạt ở tuổi thiếu niên, anh đã bỏ học và sống khép kín nhiều năm trong phòng riêng. Trong thời gian đó, anh dành hàng giờ chơi game trên điện thoại với tư thế cúi đầu sâu.

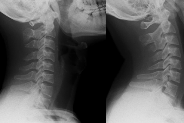
Các kết quả chụp chiếu ghi nhận đốt sống cổ của bệnh nhân bị biến dạng, trật khớp và hình thành mô sẹo. Ban đầu, các bác sĩ sử dụng nẹp cổ để hỗ trợ nâng đầu nhưng người bệnh bị tê khi đeo nên không thể tiếp tục áp dụng phương pháp này.
Các bác sĩ tiến hành phẫu thuật, bao gồm loại bỏ một phần nhỏ đốt sống và mô sẹo, đồng thời gắn ốc vít và thanh kim loại vào xương cổ để chỉnh lại tư thế.
Sáu tháng sau phẫu thuật, bệnh nhân đã có thể giữ đầu ở tư thế bình thường. Một năm kế tiếp, tình trạng khó nuốt và không thể nâng đầu không tái phát.
Các chuyên gia cho rằng tình trạng trên có thể do sự kết hợp giữa việc giữ tư thế cổ sai lệch trong thời gian dài và một rối loạn phát triển tiềm ẩn. Họ kêu gọi nâng cao nhận thức về tác hại của việc lạm dụng điện thoại thông minh, đặc biệt ở giới trẻ.
Trường hợp này được công bố trên JOS Case Reports với sự đồng ý của bệnh nhân và gia đình.
Nguyên nhân và biến chứng của hội chứng cúi đầu
Hội chứng cúi đầu (DHS) là tình trạng hiếm gặp, chủ yếu do các cơ vùng cổ suy yếu khiến người bệnh không thể giữ đầu ở tư thế thẳng. Nguyên nhân thường gặp là các bệnh lý thần kinh cơ như xơ cứng teo cơ một bên, nhược cơ, Parkinson, loạn dưỡng cơ, viêm đa cơ...
Ngoài ra, hội chứng cũng có thể phát sinh do giữ tư thế cúi đầu trong thời gian dài, đặc biệt ở người thường xuyên sử dụng điện thoại, máy tính hoặc chơi game. Một số trường hợp khác ghi nhận DHS xuất hiện do tổn thương cột sống cổ, viêm tủy, lạm dụng chất kích thích. Rối loạn phát triển tiềm ẩn cũng có thể góp phần gây bệnh.
Nếu không điều trị, DHS có thể dẫn đến nhiều biến chứng nguy hiểm. Các đốt sống cổ bị biến dạng, trật khớp, xuất hiện mô sẹo chèn ép gây đau cổ mạn tính. Người bệnh có thể gặp khó khăn khi nuốt, nói, ăn uống, dẫn đến sụt cân và suy nhược. Tư thế đầu rũ xuống còn ảnh hưởng đến khả năng giữ thăng bằng khi đi lại, làm tăng nguy cơ té ngã và giảm chất lượng cuộc sống.
Về lâu dài, bệnh có thể gây ảnh hưởng tâm lý nặng nề, đặc biệt ở người trẻ tuổi. Điều trị cần phối hợp giữa vật lý trị liệu, nẹp cổ, và trong trường hợp nghiêm trọng, phải can thiệp phẫu thuật chỉnh hình cột sống cổ.
