
Bệnh nhân có tiền sử đái tháo đường phải điều trị glucophage nhiều năm, khó kiểm soát đường máu và từng phẫu thuật viêm tụy không rõ nguyên nhân cách đây 5 năm.
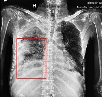
Tiếp nhận bệnh nhân, bác sĩ Khoa Cấp cứu, Bệnh viện Đa khoa Đức Giang (Hà Nội) phát hiện tình trạng tràn mủ phổi phải cùng nhiều ổ áp xe, đông đặc thùy dưới phổi trái, chẩn đoán bệnh nhân hôn mê, suy hô hấp cấp.
Bệnh nhân được chuyển lên điều trị tại Khoa Hồi sức tích cực - Chống độc, đặt ống nội khí quản, hỗ trợ thở máy cải thiện chỉ số oxy trong máu (Sp02) lên khoảng 88-90% (khi vào viện là 70%)... nhưng phổi vẫn không nở đều.
Kết quả chụp CT cho thấy hình ảnh tràn dịch khoang màng phổi 2 bên gây xẹp thụ động nhu mô phổi lân cận, giãn các nhánh phế quản phải trong vùng nhu mô phổi xẹp. Bệnh nhân cũng xuất hiện hạch trung thất và hạch hố thượng đòn phải.
"Tiên lượng tử vong cao nếu không khẩn trương xử trí sạch ổ cặn, kích phổi phải giãn nở tốt đáp ứng thông khí", bác sĩ Nguyễn Văn Lâm, Khoa Ngoại tổng hợp, cho hay.

Bác sĩ Lâm cùng kíp trực mở khoang liên sườn V bên phải, quan sát thấy màng phổi, lá thành lá tạng dính chặt thành một khối. Các phân thùy phổi dính chắc vào lá thành màng phổi kèm 4 ổ mủ và cặn khu trú, áp xe hóa.
Các bác sĩ đã phẫu tích gỡ dính, bơm rửa, bóc tách và vệ sinh các ổ mủ, ổ cặn di động khu trú; khâu phục hồi các nhu mô tổn thương gây rò khí, chảy máu. Sau khi các ổ cặn được làm sạch, phổi của bệnh nhân đã giãn nở tốt, SpO2 được nâng lên, duy trì ổn định ở mức 98 - 99%.
Năm ngày sau mổ, sức khỏe bệnh nhân dần ổn định. Các chỉ số nhiễm trùng giảm. Khả năng hô hấp đã cải thiện hơn, chỉ cần hỗ trợ thở không xâm nhập. Tuy nhiên, bệnh nhân vẫn còn tình trạng thiếu máu nên được giữ lại tiếp tục theo dõi điều trị thêm. Dự kiến, bệnh nhân sẽ được xuất viện sau 2 tuần điều trị.
Bác sĩ Lâm cũng khuyến cáo, với người cao tuổi, lại thêm bệnh lý nền tiềm ẩn như bệnh nhân trên đây, sau khi bị chấn thương, bất kể lý do gì, nếu cảm thấy nghi ngờ phải sớm đến các cơ sở y tế uy tín để kiểm tra và kịp thời xử trí, tránh biến chứng đáng tiếc có thể xảy ra.
