ghép thận

Tin tức mới nhất về ghép thận

Bệnh viện Việt Đức xác lập kỷ lục, ca ghép thận thành công thứ 1000

Đây là ca ghép thận thành công thứ 1000 được thực hiện tại Bệnh viện Hữu nghị Việt Đức kể từ ca ghép đầu tiên năm 2002.

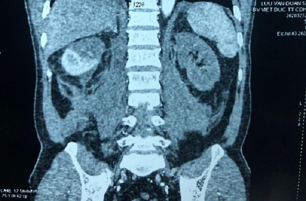
Mang thận ra rửa rồi ghép lại vào cơ thể bệnh nhân

Bệnh nhân đã có dấu hiệu suy thận nên các bác sĩ buộc phải tiến hành ghép thận tự thân để hai thận bổ sung chức năng cho nhau.

Chàng trai từng xôn xao MXH vì bán thận mua iPhone 9 năm trước giờ ra sao

Cho đến khi chàng trai này thốt ra được 2 từ hối hận thì mọi thứ đã quá muộn, chiếc iPhone bây giờ không còn giá trị và bản thân thì phải nằm liệt giường.

Người đàn ông suýt vỡ thận sau cú té ngã

Cú ngã đập hông lưng phải xuống nền đất khiến người đàn ông đau quằn quại và bất tỉnh. Quả thận nạn nhân vỡ mức độ 4.

Quyết định táo bạo của người mẹ trong ca ghép thận nhi đầu tiên 15 năm trước

 - Cô bé Nhật Trúc nhỏ như cái “bình thủy” chỉ cao 80 cm – bệnh nhi ghép thận đầu tiên ở Việt Nam đã đi trọn hành trình giấc mơ tiếp nối sự sống.

Thực hiện thành công liên tiếp hai ca ghép thận cho bệnh nhi suy thận giai đoạn cuối

 - Bệnh viện Nhi Trung ương vừa thực hiện thành công liên tiếp 2 ca ghép thận, mở ra cánh cửa sự sống cho nhiều bệnh nhi suy thận giai đoạn cuối.

Cô ruột hiến quả thận hồi sinh cháu trai suy thận giai đoạn cuối

Chàng trai 30 tuổi suy thận giai đoạn cuối vừa được bác sĩ thực hiện phẫu thuật ghép thận thành công. Bệnh nhân may mắn khi quả thận của cô ruột tương thích với mình.

14 năm chạy thận và 2 lần 'trúng số' độc đắc

 - Cuộc đời của người đàn ông 14 năm chạy thận ở BV Chợ Rẫy đã 'trúng số' độc đắc 2 lần: lần 1 gặp được người bạn đời ở chính nơi chạy thận và lần 2 được nhận thận hiến tặng từ một người hoàn toàn xa lạ. 

Chị gái sống nhờ quả thận của em trai

 - Người chị 35 tuổi đã thoát án tử sau khi được em trai hiến tặng quả thận. 

NSND Minh Vương, người nghệ sĩ hồi sinh sau cơn bạo bệnh

Nghệ sĩ cải lương Minh Vương đã 69 tuổi, song bây giờ đang sống cho một cuộc đời của người đàn ông 43 tuổi, người đã hiến tặng cho ông quả thận. 

Lần đầu tiên thế giới thực hiện ghép thận từ người hiến nhiễm HIV

Một cô gái bị nhiễm HIV đã hiến thận của mình cho một người cũng là bệnh nhân HIV khác. Bác sĩ nói đây là cuộc phẫu thuật lịch sử trên thế giới.

Quả thận của người chết não vượt 1.500 cây số cứu sống bệnh nhi

Lịch sử ghép tạng Việt Nam mở ra chương mới khi thực hiện thành công ghép tạng từ người hiến chết não ở Hà Nội tặng cho bệnh nhi ở Sài Gòn.

Thanh niên 17 tuổi bị ung thư phổi được ghép cùng lúc 2 phổi

Chàng trai 17 tuổi ở Hải Dương mắc ung thư phổi hiếm gặp được ghép cùng lúc 2 phổi tại BV Việt Đức.

Hoa hậu 28 tuổi suy thận nặng vì liên tục uống 'thần dược'

Từ một nữ hoàng sắc đẹp và khỏe mạnh, cô gái 28 tuổi, đạt danh hiệu Hoa Hậu Quốc tế 2013 đã khiến nhiều người sửng sốt khi công bố mình đang suy thận nặng, phải được ghép thận để duy trì sự sống.

Nghi đường dây bán thận hàng trăm triệu: Bệnh viện Việt Đức lên tiếng

Công an Hà Nội đề nghị BV Việt Đức phối hợp điều tra đường dây mua bán thận nghi ngờ diễn ra tại BV với giá hàng trăm triệu đồng mỗi quả. 

 

Thâm nhập đường dây ghép thận lậu, phóng viên nhận được đề nghị choáng váng

Sau khi thâm nhập đường dây ghép thận lậu tại một bệnh viện nổi tiếng, nam phóng viên liên tục nhận được các lời đề nghị nhờ bán thận giúp.

Chàng trai 26 suy thận nặng bởi 5 năm liên tục ăn sáng theo kiểu này

“Bệnh từ miệng mà ra” đúng trong rất nhiều trường hợp. Chàng trai 26 tuổi bị suy thận cũng chính là do thói quen ăn uống mà rất nhiều người hiện nay đang mắc phải.

Cha mẹ rời xứ làm thuê không đủ tiền cho con chữa bệnh

Biết cha mẹ nghèo, cậu mợ cũng nghèo, nhiều lúc My không dám nói thật về bệnh tình của mình. Nhưng nhìn em cứ yếu dần đi, người sưng phù lên, mợ em cũng biết. Hai mợ cháu lại rơm rớm ôm nhau mà khóc.

Tâm nguyện cuối cùng của lão nông hiến tạng cứu người

Tới lúc trút hơi thở cuối cùng, lão nông Phùng Văn Hinh vẫn mong muốn hiến các bộ phận cơ thể mình để cứu người.

Chị gái thuyết phục gia đình hiến tạng em trai cứu người bệnh hiểm nghèo

Khi biết em trai khó qua khỏi sau khi bị tai nạn, người chị gái ở Đồng Tháp đã thuyết phục gia đình hiến tạng em trai cứu người.