Ngày 30/1, Bệnh viện Chấn thương Chỉnh hình cho biết, nạn nhân bị thương trong vụ nổ súng ở trường gà Củ Chi, TP.HCM đang được điều trị tại đây.
Trước đó, bệnh nhân T.V.T (33 tuổi, ngụ Củ Chi, TP.HCM) được đua vào cấp cứu với vết thương ở đùi phải. Anh T., kể lại anh bị bắn vào đùi phải rồi được đưa đi cấp cứu tại một bệnh viện địa phường và được chuyển đến Bv Chấn thương Chỉnh hình.
![]() |
| Nạn nhân hiện đang được chăm sóc tại BV Chấn thương Chỉnh hình. Ảnh: Hoà Khánh |
Tại viện, bác sĩ ghi nhận nạn nhân bị gãy hở nát 1/3 xương đùi trái, vết thương dập nát ở đùi phải do đạn bắn. Và khi thám sát, bác sĩ còn phát hiện anh T. bị đứt gân cơ từ đầu đùi, nhiều mảnh xương đùi gãy.
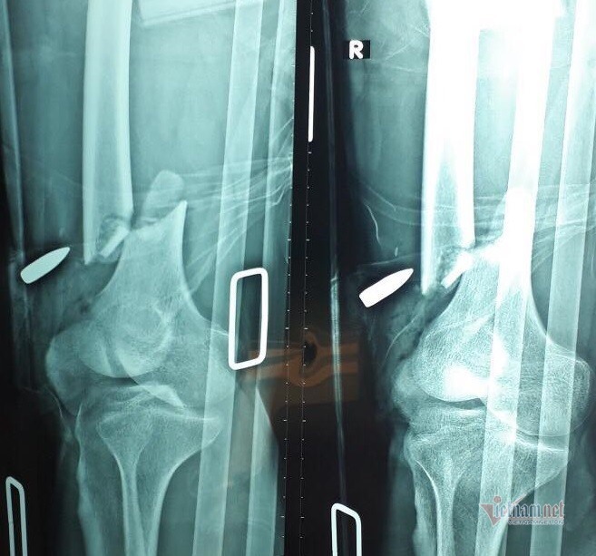
![]() |
| Ảnh chụp X-quang cho thấy đầu đạn ghim vào đùi phải nạn nhân. Ảnh: Hòa Khánh |
Ê-kíp đã tiến hành lấy viên đạn ra khỏi đùi, tiến hành mổ cắt lọc vết thương, nối gân cơ đùi và khâu khôi phục từng lớp... Hiện, bệnh nhân sức khỏe ổn định và được theo dõi nhiễm trùng vết thương.
Sau khi phẫu thuật, công an cũng đến bệnh viện để làm việc với bệnh nhân.
Trước đó, báo Vietnamnet thông tin về vụ việc mâu thuẫn khi chơi cờ bạc, một vụ nổ súng xảy ra tại xã Tân Thạnh Đông, huyện Củ Chi, TP.HCM. Hậu quả, 4 người chết và 1 người bị thương.
Phan Nhơn
Vết thương do đầu đạn xuyên đùi được bác sĩ kịp thời cấp cứu, sức khỏe nạn nhân cơ bản tạm ổn sau phẫu thuật.
