
Bác sĩ chuyên khoa 2 Dương Văn Mười Một - Trưởng khoa Phẫu thuật tim - Lồng ngực mạch máu, Bệnh viện Nhân dân 115 (TPHCM) cho biết, bệnh nhân này bắt đầu có dấu hiệu đau ngực, mệt mỏi và khó thở tăng dần trong suốt 2 tháng trước khi nhập viện. Bệnh nhân từng đi khám nhiều nơi nhưng không phát hiện ra bệnh chính xác và điều trị không cải thiện.
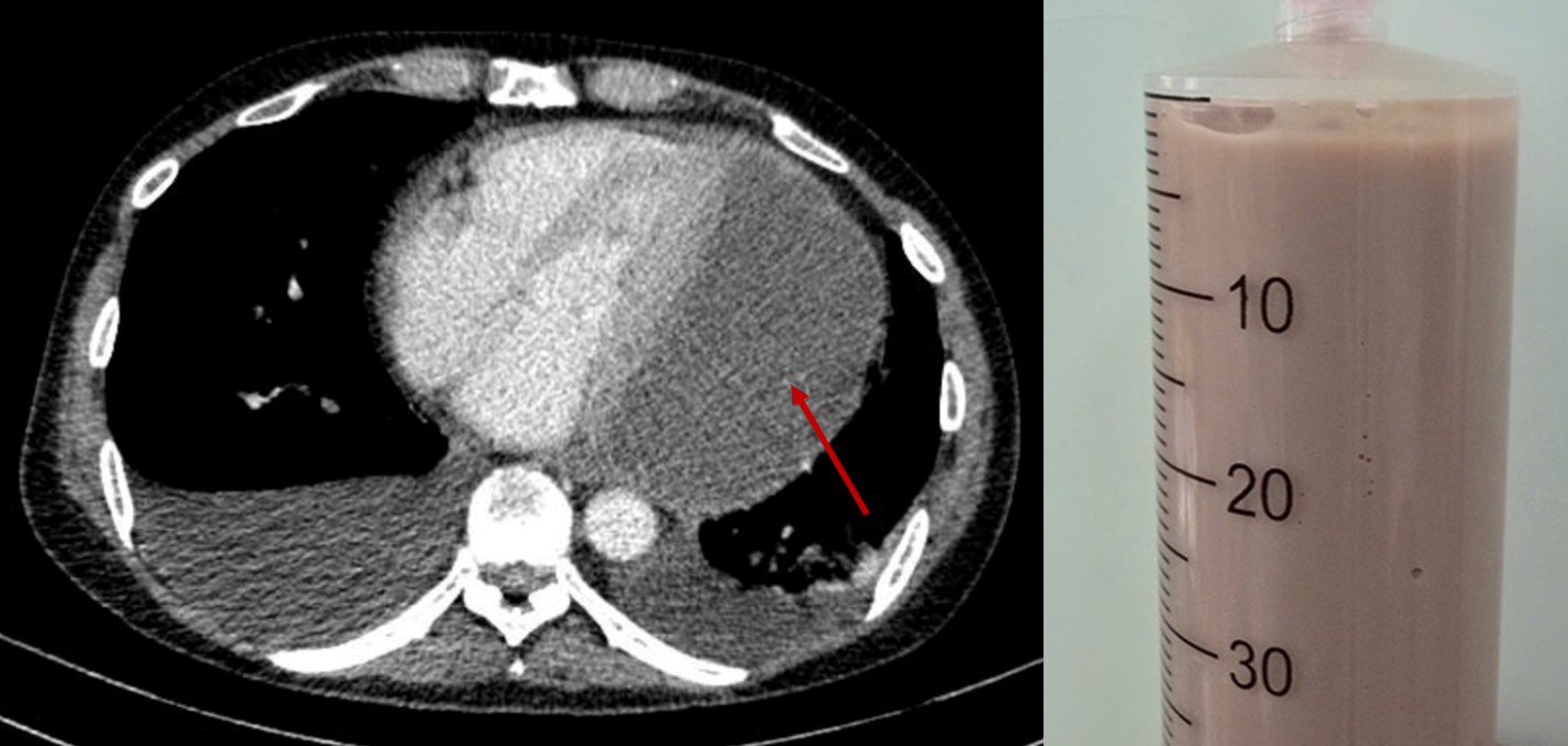
Khi đến Bệnh viện Nhân dân 115, người bệnh trong tình trạng suy kiệt toàn thân, phải thở oxy liều cao, huyết áp tụt và mạch rất nhanh, phù toàn thân. Qua siêu âm các bác sĩ phát hiện một khối dịch lớn gần 11cm bao quanh tim – nguyên nhân khiến tim bị ép chặt, co bóp khó khăn và đe dọa tính mạng người bệnh từng giây.
Người đàn ông này có tiền sử nghiện rượu lâu năm, xơ gan và đái tháo đường mới được phát hiện, sức khỏe của người bệnh ngày càng sa sút nghiêm trọng.

Ngay lập tức, các bác sĩ từ nhiều chuyên khoa đã cùng nhau thảo luận và quyết định can thiệp chọc hút dịch mủ ra khỏi màng ngoài tim khẩn cấp. Đây là một ca chọc hút không đơn giản và tiềm ẩn nhiều nguy cơ do khối mủ nằm ở vị trí khó tiếp cận, dịch đặc quánh.
Với sự hỗ trợ của thiết bị siêu âm hiện đại tại giường bệnh, các bác sĩ đã hút thành công 500ml mủ đặc, giảm nhanh áp lực lên tim. Bệnh nhân được phẫu thuật mở cửa sổ màng tim để tiếp tục dẫn lưu toàn bộ dịch mủ còn lại. Đồng thời điều trị tích cực bằng kháng sinh mạnh, điều trị bệnh nền chặt chẽ, nâng thể trạng...
Sau 2 tuần điều trị người bệnh hồi phục ngoạn mục, không còn đau ngực hay khó thở, ăn uống tốt, vận động bình thường. Siêu âm tim cho thấy dịch quanh tim đã biến mất.
Theo bác sĩ Một, tràn mủ màng ngoài tim là một tình trạng nhiễm trùng nghiêm trọng, nhưng hiện nay khá hiếm gặp do việc sử dụng kháng sinh phổ biến trên toàn cầu.
Tại Việt Nam, các trường hợp tràn mủ màng ngoài tim ở người lớn rất hiếm gặp và chưa có nhiều báo cáo về các trường hợp tương tự.
Nếu không được chẩn đoán và điều trị kịp thời, tình trạng này có thể đe dọa tính mạng. Mủ tích tụ có thể lan vào máu gây nhiễm trùng nặng toàn thân, chèn ép tim làm cản trở máu lưu thông, dẫn đến tụt huyết áp, sốc và thậm chí đột ngột ngưng tim gây tử vong.
