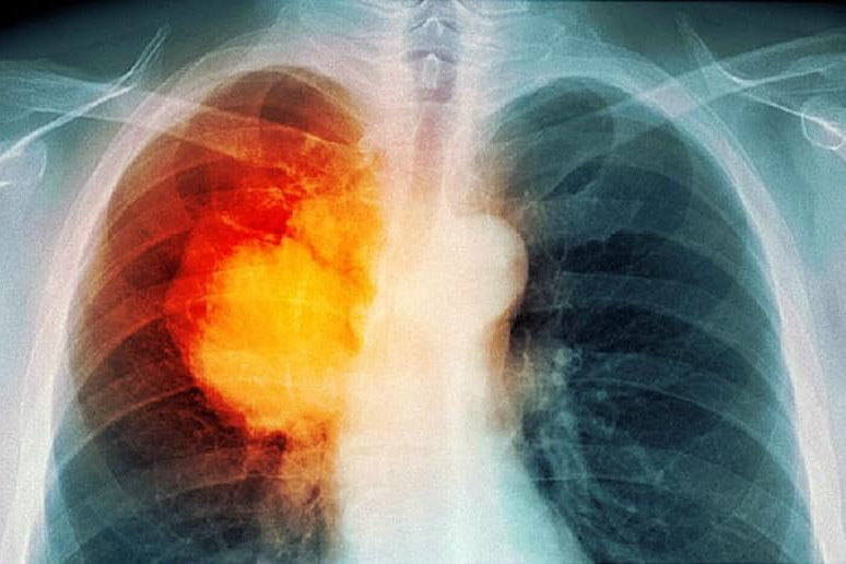
Ung thư phổi

    Bệnh ung thư hay gặp, khó phát hiện nhất và kết quả điều trị hiệu quả thấp, gây tử vong nhiều nhất hiện nay là ung thư phổi. Tại Việt Nam, sau ung thư gan, ung thư phổi là căn bệnh nguy hiểm thứ hai ở cả nam và nữ. Vậy ung thư phổi là gì? Ung thư phổi có mấy giai đoạn, triệu chứng, nguyên nhân ung thư phổi như thế nào?

    Hiện nay, theo các kết quả nghiên cứu, bệnh ung thư phổi được chia thành 2 loại: ung thư phổi tế bào nhỏ và ung thư phổi không tế bào nhỏ.

    Những triệu chứng ung thư phổi thường gặp gồm:

    • Bị ho kéo dài không khỏi.

    • Có cảm giác khó thở, thở ngắn, có đờm lẫn  máu.

    • Bị đau ngực.

    • Sau một thời gian ủ bệnh, người bệnh có thể bị gầy sút, mệt mỏi, khàn giọng, khó nuốt, thở khò khè, đau xương thậm chí bị tràn dịch màng phổi

    Tìm hiểu triệu chứng ung thư phổi điển hình

    Bệnh nhân bị ung thư phổi bởi những nguyên nhân sau:

    • Hút thuốc lá: hiện nay, 90% bệnh nhân bị ung thư phổi bởi hút thuốc lá, 4% bệnh nhân do hít phải số lượng đáng kể khói thuốc hàng ngày.

    • Môi trường làm việc là yếu tố dễ gây ra bệnh ung thư phổi. Các tác nhân từ môi trường gây ung thư phổi như: khói bụi, những người làm việc trong môi trường luyện thép, niken, crom và khí than.

    • Tiếp xúc với tia phóng xạ: đây  là nguyên nhân gây ra nhiều bệnh ung thư, trong đó có ung thư phổi. Bệnh nhân làm việc trong các mỏ uranium, fluorspar và hacmatite có thể tiếp xúc với tia phóng xạ do hít thở không khí có chứa khi radon.

    Những người nằm trong nguy cơ cao bị ung thư phổi là những người hút thuốc, hút thuốc thụ động, những người có người thân bị ung thư phổi, làm việc trong môi trường có nguy cơ tiếp xúc phải các chất gây ung thư... Đặc biệt tuổi càng cao thì khả năng, tần suất bị ung thư càng lớn.

    Người đàn ông bị ung thư sau 30 năm hút thuốc lá

    Ông H. (64 tuổi) nhưng có thói quen hút thuốc lá và thuốc lào suốt 30 năm. Khi đi khám bệnh, bác sĩ phát hiện ông mắc ung thư phổi.

    Người phụ nữ bị ung thư phổi thoát cảnh cắt xương sườn nhờ robot

    Từng phải cắt một bên ngực vì ung thư vú, người phụ nữ ở Gia Lai tiếp tục phải phẫu thuật vì ung thư phổi. Nếu áp dụng phương pháp cũ, bác sĩ sẽ phải cắt xương sườn, mở lồng ngực bệnh nhân.

    Loại ung thư khiến 23.000 người Việt tử vong mỗi năm, cách nào để tầm soát?

    Việt Nam có hơn 26.000 ca mắc mới và 23.000 ca tử vong vì ung thư phổi. Nhiều phương pháp tầm soát căn bệnh ác tính này được giới thiệu, trong đó có xét nghiệm máu tìm chỉ số ung thư.

    6 triệu chứng của bệnh ung thư khiến hàng chục nghìn người Việt tử vong

    Các dấu hiệu của ung thư phổi thường không đặc hiệu, khó phát hiện và dễ nhầm lẫn với những bệnh lý khác nên nhiều người bệnh đã bỏ lỡ giai đoạn vàng điều trị.

    Trí tuệ nhân tạo giúp sàng lọc ung thư phổi sớm

    Trí tuệ nhân tạo (AI) ngoài việc có thể giúp sàng lọc ung thư phổi sớm, còn phân tích các dữ liệu gene, gợi ý các chương trình điều trị phù hợp nhất với từng người bệnh và tiên lượng kết quả điều trị.

    Căn bệnh ung thư nguy hiểm, người mắc có thể chỉ sống được 2 tháng

    Ung thư phổi tế bào nhỏ có tiên lượng rất xấu, di căn nhanh. Nếu không điều trị thời gian sống của bệnh nhân chỉ từ 2 đến 4 tháng.

    Bị ung thư phổi giai đoạn cuối, ông bố trẻ quay clip gửi lại cho con gái 4 tuổi

    Mắc ung thư phổi giai đoạn cuối, anh Hai đã ghi lại hành trình chữa bệnh của mình, đưa lên mạng xã hội với hi vọng sau này con gái trưởng thành biết được cha đã cố gắng như thế nào.

    Phát hiện loại ung thư hàng vạn người Việt mắc chỉ bằng phương pháp rẻ tiền

    Người đàn ông 45 tuổi đi khám sức khỏe định kỳ, chụp X-quang phát hiện u phổi trái kích thước lớn, vài hôm sau nhận chẩn đoán ung thư.

    Nguy cơ mắc ung thư phổi ở người hút thuốc lá thụ động

    Khói thuốc được xem là thủ phạm khiến không ít người mắc ung thư phổi, dù họ chưa từng hút.

    Khi nào người hút thuốc lá nên tầm soát ung thư phổi?

    Theo khuyến cáo mới của Mạng lưới Ung thư Quốc gia Hoa Kỳ (NCCN) năm 2022, người từ 50 tuổi trở lên, hút thuốc lá từ 20 bao/năm trở lên, có các yếu tố nguy cơ khác nên tầm soát ung thư phổi.

    Ba dấu hiệu giúp người đàn ông sớm phát hiện mắc ung thư phổi

    Người đàn ông 61 tuổi gần đây hay đau bụng, thỉnh thoảng ho, đi khám bất ngờ phát hiện ung thư phổi trái.

    Phát hiện bệnh ung thư nguy hiểm sau 2 tuần đau tức ngực

    Ung thư phổi tế bào nhỏ chỉ chiếm 15% số ca mắc nhưng là bệnh có tiên lượng nặng hơn rất nhiều.

    Ung thư phổi di căn gan nghi do thói quen gần 50% đàn ông Việt mắc phải

    Ông Vũ Đình L. (69 tuổi, trú tại Hà Nội) đến khám vì có biểu hiện ho, khạc đờm, sút cân nhanh. Ông bất ngờ khi bác sĩ chẩn đoán ung thư phổi giai đoạn cuối đã di căn gan.

    Nhận tin có nguy cơ mắc ung thư phổi chỉ sau 10 ngày đau ngực, sút cân

    Người đàn ông 47 tuổi đau ngực trái, ho, gần đây kèm thêm sốt, gầy sút 3kg. Uống thuốc mãi không khỏi, anh đi khám và bàng hoàng khi nhận tin có khả năng cao mắc ung thư phổi.

    Dấu hiệu ung thư phổi không liên quan đến đường hô hấp

    Người bệnh đến khám vì nôn ói, đau đầu và tìm thấy một khối u trong não. Tuy nhiên, "thủ phạm" gây ra tình trạng trên là ung thư phổi đã di căn lên não.

    Phát hiện ung thư phổi di căn từ triệu chứng đau lưng

    Trong thời gian mang bầu, chị H. liên tục đau lưng nhưng không điều trị vì nghĩ rằng đó là tác dụng phụ của thai nghén. Sau sinh, chị ho nhiều nên đi khám, bệnh đã ở giai đoạn muộn.

    Nhầm triệu chứng ung thư phổi là viêm hô hấp

    Nam bệnh nhân đến khám vì ho kéo dài không thuyên giảm. Bác sĩ chụp cắt lớp vi tính phát hiện khối u 2,5cm, ung thư thùy trên phổi bên phải.

    Nguyên nhân khó tránh khiến người phụ nữ bị ung thư phổi

    ANH - Có chế độ ăn lành mạnh, chăm tập thể thao, không hút thuốc nhưng Loveridge vẫn mắc bệnh.

    Hai loại ung thư có triệu chứng trở nặng vào buổi sáng

    Theo các bác sĩ, các triệu chứng ung thư phổi, não có thể xuất hiện ngay sau khi bạn thức dậy.

    Xét nghiệm máu có tầm soát được loại ung thư 23.000 người Việt mắc mỗi năm?

    Một số người dân tin rằng có thể phát hiện ung thư phổi khi xét nghiệm máu. Tuy nhiên, các chuyên gia cho rằng cần thận trọng về điều này.