
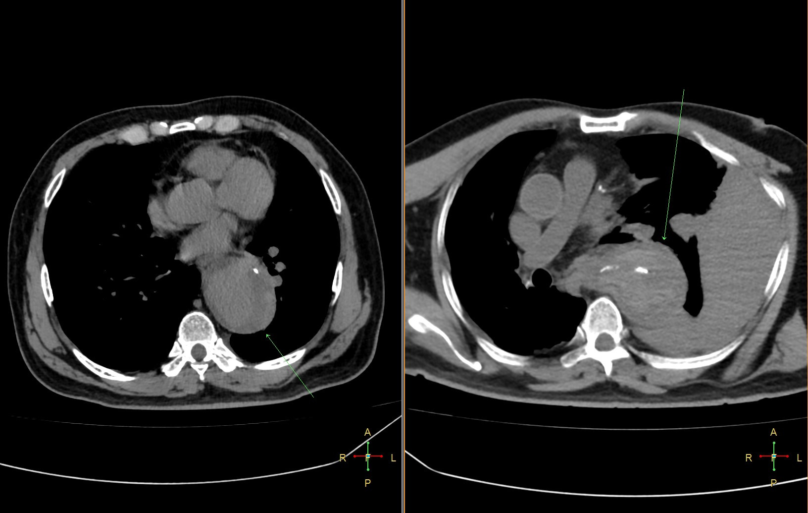
Ngày 2/4, bác sĩ Nguyễn Minh Đức – Giảng viên Trường Đại học Y Phạm Ngọc Thạch (TPHCM) cho biết, mới đây ông tiếp nhận khám cho một người đàn ông (50 tuổi, là Việt kiều Úc), vào viện điều trị các triệu chứng của rối loạn tiêu hóa nhưng được phát hiện phình động mạch chủ ngực, kích thước lên tới 50mm. Bác sĩ tư vấn can thiệp điều trị đặt stent graft ngay vì có nguy cơ vỡ động mạch chủ nhưng bệnh nhân mong muốn quay trở lại Úc điều trị.
Ngày hôm sau, người đàn ông này bất ngờ hôn mê sau khi hắt hơi. Bác sĩ kiểm tra qua chụp CT xác định vỡ túi phình động mạch chủ khiến người bệnh shock và tử vong ngay sau đó.

Theo bác sĩ Nguyễn Minh Đức, ông đã từng chứng kiến một đồng nghiệp tử vong sau cú hắt hơi. Người bệnh là một bác sĩ ngành chấn thương chỉnh hình ở TPHCM. Người này khám và phát hiện phình động mạch ngực, túi phình 45mm nhưng chưa muốn điều trị. Khi bị cảm cúm, bệnh nhân hắt hơi và gặp biến chứng vỡ phình động mạch chủ ngực và tử vong ở tuổi 60.
Động mạch chủ là mạch máu lớn nhất trong cơ thể, xuất phát từ tim và đưa máu giàu oxy đến các cơ quan khác như ngực, bụng, tứ chi... Phình động mạch chủ ngực là một đoạn chạy qua ngực bị tổn thương, dần suy yếu, phình to ra.
Khi hắt hơi, người bệnh sẽ lấy hơi bụng đẩy lên nên gây áp lực tới động mạch chủ ngực. Động mạch đang phình căng như bóng, rất dễ vỡ dẫn đến máu ồ ạt chảy vào tim phổi gây shock và nguy cơ tử vong rất cao.
Theo bác sĩ Nguyễn Minh Đức, biến chứng phình động mạch rất nguy hiểm:
- Vỡ túi phình: Vỡ mạch tại vị trí phình có thể gây tử vong cho bệnh nhân do tình trạng mất máu cấp với các biểu hiện đau tức ngực, khó thở nhiều, da xanh nhợt, tụt huyết áp. Nguyên nhân được tìm ra có thể liên quan đến chấn thương, huyết áp cao không kiểm soát, gia tăng áp lực ổ bụng, lồng ngực đột ngột.
- Phình động mạch chủ dọa vỡ: Đau tại vùng có túi phồng là dấu hiệu cảnh báo động mạch chủ sắp vỡ. Viêm quanh túi phình gây đau âm ỉ, có thể rò rỉ vào các tạng xung quanh (ống tiêu hóa, phổi). Đây là một cấp cứu ngoại khoa hoặc can thiệp. Các thăm dò chức năng cận lâm sàng như CT động mạch chủ ngực và siêu âm Doppler bụng có thể giúp chẩn đoán và điều trị.
- Bóc tách thành động mạch chủ: Là một biến chứng nặng nề, điều trị phức tạp, chẩn đoán xác định bằng chụp CT động mạch chủ.
Để phát hiện sớm phình động mạch chủ, bác sĩ Đức khuyến cáo, bệnh nhân tăng huyết áp, đái tháo đường, rối loạn mỡ máu cần thận trọng.
Với những người đã có phình hoặc bóc tách động mạch chủ nên thận trọng vì một thay đổi áp suất đột ngột như cú hắt hơi có thể gây ra vỡ, nhất là trong các đợt nhiễm trùng, nhiễm siêu vi, cảm cúm.
Theo bác sĩ Đức, việc phòng bệnh bằng việc ăn uống tốt cho sức khỏe tim mạch, không tiếp xúc với thuốc lá, tập luyện tối thiểu 150 phút mỗi tuần.
