
Ngày 16/8, thông tin từ Bệnh viện Đa khoa tỉnh Phú Thọ cho biết, các bác sĩ tại đây đang cấp cứu cho hai bệnh nhân ngộ độc cồn methanol.
Trường hợp thứ nhất, người bệnh nam uống hết 100ml cồn 90 độ pha với 500ml nước lọc. Sau 1 ngày, người bệnh xuất hiện tình trạng đau bụng, nôn ra dịch nâu, thị lực mờ dần, ngày càng suy giảm.
Người bệnh được chuyển tuyến đến Bệnh viện Đa khoa tỉnh Phú Thọ trong tình trạng mất thị lực. Kết quả xét nghiệm khí máu có tình trạng toan hóa máu, được chẩn đoán ngộ độc methanol. Người bệnh phải lọc máu cấp cứu. Dù sau đó được chuyển lên Khoa Chống độc, Bệnh viện Bạch Mai điều trị nhưng người bệnh vẫn bị mất thị lực.

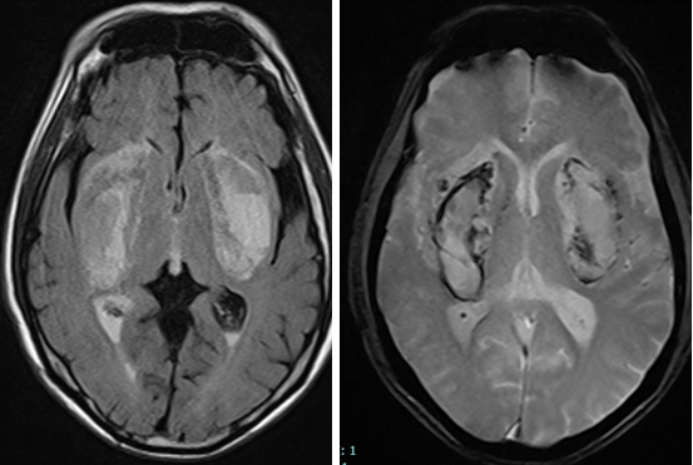
Trường hợp thứ 2, nam bệnh nhân 66 tuổi sau khi uống phải cồn pha nước lọc 1 ngày xuất hiện tình trạng đau đầu, nhìn mờ dần, vật vã kích thích. Bệnh nhân nhập viện trong tình trạng hôn mê sâu, toan chuyển hóa nặng do ngộ độc methanol. Kết quả chụp cộng hưởng từ sọ não cho thấy tổn thương nhồi máu, hoại tử, chảy máu nhân bèo hai bên - đây là dạng tổn thương não điển hình do ngộ độc methanol. Người bệnh dù được hồi sức tích cực, lọc máu, thở máy nhưng tình trạng rất nặng, nguy cơ cao đối mặt với tình trạng sống thực vật.
Thạc sĩ, bác sĩ Bùi Tất Luật - Khoa Cấp cứu, Bệnh viện Đa khoa tỉnh Phú Thọ cho biết, trong thời gian gần đây, tình trạng ngộ độc methanol đang có xu hướng gia tăng.
Methanol thường được gọi là cồn công nghiệp, được bán với giá rất rẻ nên dễ bị kẻ xấu sử dụng làm rượu giả, cồn giả pha nước (thay cho ethanol). Đó là lý do nhiều người mua cồn y tế hay các sản phẩm dán nhãn ethanol nhưng thành phần lại có chứa methanol, thậm chí nồng độ methanol rất cao.
Methanol được hấp thu và gây ngộ độc dễ dàng qua đường tiêu hóa, da hoặc đường hô hấp. Do methanol được cơ thể chuyển hóa và thải trừ chậm, gây ngộ độc cũng chậm nên khi tiếp xúc mức độ ít trong thời gian dài hoặc lặp lại nhiều lần sẽ tích lũy trong cơ thể và gây ngộ độc sau đó nhiều ngày. Tình trạng này hay gặp ở người nghiện rượu, người thường xuyên uống rượu không rõ nguồn gốc, cồn giả pha nước uống thay rượu.


