Bất lực vì… khám mãi không ra bệnh
Suốt 2 năm nay, chị N.T.L chấp nhận “chung sống” cùng cơn đau vùng chậu âm ỉ, dai dẳng. Triệu chứng đau tăng lên khi đến kỳ kinh.
Ròng rã đi khám tại 3 cơ sở y tế khác nhau nhưng nhận lại kết quả chẩn đoán không thống nhất. Bệnh tìm không ra, trong khi triệu chứng đau ngày càng rõ ràng khiến chị không khỏi mệt mỏi và chán nản.

Càng hoang mang hơn khi chị L. không biết phải tìm đến cơ sở y tế nào để khám chữa bệnh, đã có lúc chị tưởng chừng như muốn buông xuôi. Chị L. được đồng nghiệp giới thiệu bác sĩ gia đình và từ đó, hành trình tìm ra bệnh, điều trị bệnh của chị đã có tiến triển tích cực.
Sau khi tiếp nhận quản lý bệnh nhân, bác sĩ gia đình tiến hành khai thác thông tin tiền sử, lập phả hệ nhằm xác định và loại trừ các yếu tố nguy cơ. Nhận thấy với trường hợp này, bệnh nhân cần thăm khám về chuyên khoa Sản, đặc biệt thực hiện các kỹ thuật chẩn đoán chuyên sâu để xác định chính xác tình trạng bệnh.
Bác sĩ gia đình cùng “truy tìm” bệnh khó chẩn đoán
Bác sĩ tiếp nhận quản lý và chăm sóc sức khỏe tại gia đình cho chị L. là Ths.BSNT Hoàng Trung Tính - Chuyên ngành Y học gia đình, Hệ thống Y tế MEDLATEC.
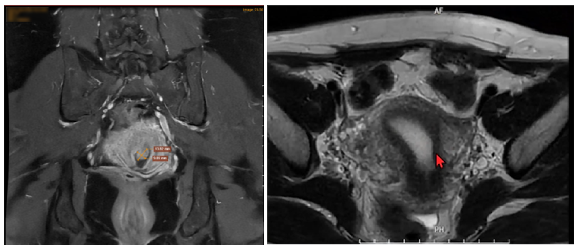
BS. Tính đã cùng chuyên gia Sản khoa MEDLATEC - PGS.TS Đặng Thị Minh Nguyệt - Phó Chủ nhiệm Bộ môn Phụ sản - Trường Đại học Y Hà Nội; Phó Trưởng Khoa Phụ nội tiết - Bệnh viện Sản Trung ương hội chẩn, chỉ định bệnh nhân thực hiện các cận lâm sàng cần thiết, đặc biệt là kỹ thuật chuyên sâu chụp MRI vùng chậu.
Kết quả đọc phim chụp MRI từ chuyên gia tại Trung tâm Chẩn đoán Hình ảnh MEDLATEC cho biết, nguyên nhân gây ra cơn đau mạn tính của bệnh nhân là do khối lạc nội mạc tử cung thành bụng, đồng thời cần theo dõi polyp ống cổ tử cung, nhân xơ vú phải và viêm tuyến giáp Hashimoto.

Ths.BSNT Hoàng Trung Tính cùng chuyên gia tiến hành thảo luận kỹ lưỡng và đưa ra phương pháp điều trị hiệu quả, đồng thời bệnh nhân tiếp tục được theo dõi và quản lý tình trạng sức khỏe một cách chặt chẽ.
Ths.BSNT Hoàng Trung Tính cho biết: “Tiếp nhận quản lý trường hợp này, bệnh nhân than phiền về tình trạng đau bụng vùng chậu, cơn đau theo mô tả có phần khác thường so với cơn đau khi đến kỳ kinh trước đây. Đặc biệt, bệnh nhân ròng rã đi tới 3 cơ sở y tế nhưng không chẩn đoán ra bệnh. Sau khi đọc hồ sơ bệnh án, tôi nhận thấy đây cũng là một ca khó. Tôi cùng đội ngũ chuyên gia MEDLATEC vào cuộc ngay với hy vọng sẽ chẩn đoán ra bệnh và đưa ra phương án điều trị sớm nhất có thể”.
Chị L. chia sẻ: “Có lẽ nhiều người sẽ hiểu được cảm giác bất lực khi mất tiền bạc, thời gian đi khám nhưng bệnh không tìm ra, cơn đau thì không thuyên giảm. Khoảng thời gian sống chung với bệnh mà không biết bệnh gì khiến tôi tuyệt vọng. Thực sự cảm thấy may mắn vì biết đến bác sĩ gia đình MEDLATEC. Không chỉ có BS. Tính, các chuyên gia trong Hội đồng chuyên môn tại đây khiến tôi rất yên tâm”.
Dịch vụ bác sĩ gia đình tại Hệ thống Y tế MEDLATEC hiện đáp ứng được nhu cầu theo dõi và quản lý sức khỏe của cả gia đình một cách chặt chẽ.

Theo quy định của Bộ Y tế, đơn vị y tế triển khai dịch vụ bác sĩ gia đình cần đáp ứng các điều kiện về cơ sở vật chất, trang thiết bị, nhân lực (chứng chỉ hành nghề, văn bằng chuyên môn, giấy chứng nhận đào tạo về y học gia đình của người hành nghề).
Hiện nay, nhu cầu sử dụng dịch vụ y tế chất lượng cao cũng tăng lên. Nhiều đơn vị y tế đã triển khai dịch vụ bác sĩ gia đình, tuy nhiên, người dân cần thận trọng khi lựa chọn cơ sở uy tín để được hưởng dịch vụ chất lượng với tiện ích cao.
|
Đáp ứng đầy đủ những yêu cầu của Bộ Y tế, Hệ thống Y tế MEDLATEC triển khai dịch vụ bác sĩ gia đình, phục vụ người dân tại 12 quận trên địa bàn Hà Nội với những năng lực vượt trội như sau: - Đội ngũ bác sĩ chuyên khoa đào tạo chính quy, giàu kinh nghiệm thăm khám, tư vấn kịp thời toàn bộ thắc mắc về thông tin sức khỏe; - Trang bị đầy đủ thiết bị hiện đại, di động đến nhà khách hàng, cùng hệ thống máy móc xét nghiệm hiện đại bậc nhất của thế giới, tiên phong áp dụng song hành hai tiêu chuẩn quản lý quốc tế ISO 15189:2012 và CAP (Hoa Kỳ); - Là đơn vị y tế tiên phong triển khai dịch vụ bác sĩ gia đình có sự hỗ trợ của Trung tâm Chẩn đoán hình ảnh trực tuyến 4.0 kết nối với các đơn vị y tế trên mọi miền đất nước; - Toàn bộ thông tin/hồ sơ sức khỏe của khách hàng được bảo mật tối đa; - Bảo đảm đáp ứng tốt nhất nhu cầu người dân với thời gian phục vụ liên tục 24/7. Hotline: 1900 56 56 56 (hỗ trợ 24/24h). |
Thế Định