gãy tay

Tin tức mới nhất về gãy tay

Con ngã gãy tay vì áo chống nắng của mẹ cuốn vào bánh xe

Bé gái 8 tuổi được mẹ đón về sau buổi học, không ngờ áo khoác chống nắng dài cuốn vào bánh xe khiến bé bị kéo theo và ngã xuống.

Bé trai 7 tuổi hôn mê sâu do phẫu thuật tháo đinh nẹp xương tay

Sau khi phẫu thuật để lấy đinh nẹp xương tay, bé Phi Công (sống ở Bình Phước) đã hôn mê, rối loạn nhịp tim và phải chuyển lên bệnh viện ở TP.HCM. 

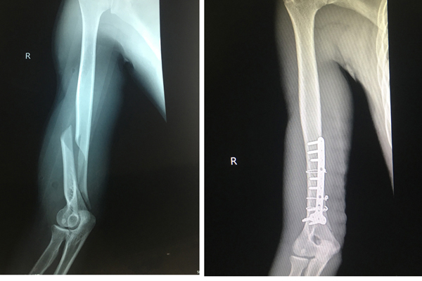
Chơi vật tay, thanh niên 19 tuổi nghe tiếng 'rắc' rồi gãy cánh tay

- Đang chơi vật tay cùng bạn, Cường đột nhiên nghe tiếng “rắc” và cánh tay phải đột nhiên đau nhói, không thể cử động.

 

Vợ bệnh cần 20 triệu đồng phẫu thuật, chồng chỉ còn 80 ngàn đồng

- Qua 3 lần phẫu thuật sau một tai nạn lao động, người phụ nữ ấy đang trong tình trạng cần phải phẫu thật sớm. Vết thương bị nhiễm trùng khiến chị nóng sốt, đau nhức không thể trì hoãn lâu hơn nữa. 

Cánh tay bé gái hoại tử xương phải cắt bỏ do cha mẹ đắp lá

Sau đắp lá 1 tháng, cánh tay bị gãy chảy dịch kèm theo sưng nề, đỏ tấy do hoại tử đã sâu vào tới xương.

Bé gái 4 tuổi sống sót kỳ diệu khi té từ lầu 7 chung cư

Rơi từ lầu 7 chung cư xuống nền xi măng, bé gái 4 tuổi bị gãy tay, chân, máu chảy lênh láng.

Tử vong sau mổ gãy tay: Giám đốc bệnh viện lên tiếng

Đánh giá ban đầu về nguyên nhân tử vong, Giám đốc BV đa khoa Hà Đông cho rằng có thể do mỡ gây tắc mạch khiến bệnh nhân ngừng tim.

Hà Nội: Sau phẫu thuật gãy tay, bệnh nhân 37 tuổi tử vong

Sau phẫu thuật nẹp xương cẳng tay, nam bệnh nhân 37 tuổi dần chuyển tím đen, bụng chướng to rồi tử vong.

Tường trình của nhà trường về chuyện bé 3 tuổi gãy tay

Theo lãnh đạo Trường mầm non Thế giới Thiên thần (Quận Tân Bình, TPHCM), việc bé trai 3 tuổi bị gãy tay tại trường không phải do cô giáo đánh mà do cháu bé bị té ngã trong quá trình sinh hoạt tại lớp.

Bé trai gãy tay vì bắt chước leo tường như game show

Em Nhật bị gãy cả hai tay vì bị té trong lúc tập leo tường như các thí sinh chơi trong game show Không giới hạn - Sasuke Việt Nam trên truyền hình.

Thanh niên gãy tay phải vẫn cố chơi Liên Minh Huyền Thoại

Một số người còn thắc mắc rằng nếu chỉ chơi bằng một tay, dùng chuột không thì... bấm phím skill như thế nào.