Tổn thương phổi ở bệnh nhân sau nhiễm Covid-19
BVĐK MEDLATEC vừa tiếp nhận bệnh nhân (BN) nam, 60 tuổi, có tiền sử tăng huyết áp và đái tháo đường đang theo dõi và điều trị định kỳ. Bệnh nhân sau nhiễm Covid-19 đến khám để đánh giá các tổn thương hậu Covid-19.
Tại thời điểm khám, BN có mệt, khó thở, hụt hơi nhất là khi gắng sức, ho nhiều và có đờm trắng; thăm khám thấy thông khí giảm. Sau thăm khám đầu vào, bệnh nhân được chụp CT phổi và làm các xét nghiệm đánh giá tình trạng tim mạch, tiểu đường cũng như toàn trạng của cơ thể.

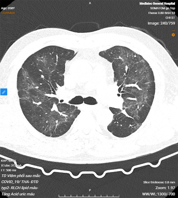
Kết quả CT phổi có hình ảnh tổn thương kính mờ, dày tổ chức kẽ và dải xơ dưới màng phổi hai bên, hướng đến tổn thương hậu Covid-19. Đo chức năng hô hấp thấy giảm lưu lượng các nhánh phế quản vừa và nhỏ.
Sau đó, BN đã được PGS. TS Hoàng Thị Phượng - Chuyên gia Hô hấp, BVĐK MEDLATEC; Nguyên Trưởng khoa Lao và Bệnh phổi - Viện Phổi Trung ương, tư vấn và chuyển sang điều trị tại BV Phổi Trung ương. Hiện tại sức khỏe của BN đã tốt hơn, triệu chứng về hô hấp cũng giảm nhiều.
Theo các chuyên gia y tế, thông thường các triệu chứng sau khi khỏi Covid-19 sẽ thuyên giảm sau 3 - 4 tuần, những người không có biểu hiện gì thì có thể quay trở lại làm việc và sinh hoạt bình thường mà không cần đi khám.
Tuy nhiên, nếu người bệnh vẫn còn dấu hiệu mệt mỏi, đau nhức, sốt, ho... thì nên đến các cơ sở y tế thăm khám, đánh giá các tổn thương hậu Covid, đặc biệt cảnh giác trong trường hợp người có bệnh nền như đái tháo đường, bệnh phổi tắc nghẽn mạn tính và các bệnh lý khác: ung thư, bệnh thận mạn tính... để tránh ảnh hưởng hưởng tới sức khỏe cũng như chất lượng cuộc sống.
Cảnh giác các bệnh lý khác sau nhiễm Covid-19
Bệnh nhân B.T.T (Nữ, 69 tuổi, ở Hà Nội) đến BVĐK MEDLATEC khám vì lý do ho ra máu. Bác sĩ chỉ định BN chụp CT phổi, khám tai mũi họng và làm các thăm dò để tìm nguyên nhân gây ho ra máu xuất hiện đã nhiều tháng nay.
Kết quả chụp CT phổi cho thấy hình ảnh khối u phổi kích thước 37x52x3mm, bờ múi không đều, tua gai, xâm lấn lòng phế quản. BN đã được sinh thiết khẳng định chẩn đoán và được phẫu thuật, xạ trị tại bệnh viện Ung bướu Hà Nội.

Theo BS CKI. Vũ Thanh Tuấn - Chuyên khoa Hô hấp của bệnh viện cho biết: ho, đặc biệt ho ra máu là dấu hiệu liên quan đến nhiều bệnh lý ở phổi, đường hô hấp trên, tiêu hóa, tim mạch. Vì vậy, khi xuất hiện dấu hiệu bất thường này, BN không được chủ quan, mà cần đi khám ngay để được chẩn đoán toàn diện, tránh bỏ sót các bệnh lý ác tính.
Những dấu hiệu của hậu Covid trên phổi chưa được giải thích
Ngoài các tổn thương đặc hiệu sau nhiễm Covid-19, Trung tâm Chẩn đoán hình ảnh MEDLATEC còn thông tin về nhiều trường hợp đặc biệt chưa từng được nêu trong các dấu hiệu của hậu Covid trên phổi, chưa được giải thích một cách chặt chẽ trên các y văn. Ví dụ như tràn khí màng phổi sau nhiễm Covid-19 ở bệnh nhân nam, trẻ tuổi, đến BVĐK MEDLATEC do còn ho khan, đau tức vùng ngực, mệt mỏi, cảm giác khó thở.

Qua theo dõi các trường hợp đến khám hậu Covid tại MEDLATEC, PGS. TS. BSCC Nguyễn Quốc Dũng - Giám đốc chuyên môn Trung tâm Chẩn đoán hình ảnh, Hệ thống Y tế MEDLATEC chia sẻ, trong số các tổn thương sau nhiễm Covid thì tổn thương phổi gặp 56 - 60% các trường hợp đến khám, cùng với sự phối hợp giữa kết quả hình ảnh và xét nghiệm giúp cho các bác sĩ lâm sàng có hướng chẩn đoán, điều trị và theo dõi tốt nhất cho bệnh nhân.
Từ đó, PGS. Dũng khuyến cáo, để an toàn và bảo đảm sức khỏe, người dân nên quan tâm đến sức khỏe của mình trong giai đoạn hậu Covid, do những dấu hiệu của hậu Covid rất dễ lẫn hoặc làm mờ các dấu hiệu khác, đặc biệt ở nhóm bệnh nhân có bệnh nền hoặc các bệnh khác phối hợp. Vì vậy, để khẳng định có hay không có tổn thương hậu Covid cần phải có ý kiến, hoặc thăm khám bởi bác sĩ chuyên khoa để có kết quả chẩn đoán chính xác nhất cho người bệnh và việc điều trị, can thiệp sẽ kịp thời hơn.
Với 26 năm kinh nghiệm, Hệ thống Y tế MEDLATEC gồm chuỗi Bệnh viện/Phòng khám trên cả nước là nơi quy tụ đội ngũ chuyên gia, bác sĩ đầu ngành giàu kinh nghiệm các chuyên khoa như Hô hấp, Tiêu hóa, Tim mạch, Thần kinh... và được trang bị đồng bộ hệ thống máy móc hiện đại bậc nhất như dàn máy xét nghiệm đạt tiêu chuẩn ISO 15189:2012, CAP cùng thiết bị chẩn đoán hình ảnh MRI, CT, siêu âm, X-quang kỹ thuật số... Trước những thế mạnh đó, MEDLATEC có điều kiện tốt nhất phục vụ chẩn đoán, tiên lượng chính xác trên từng ca bệnh.
Nhằm đồng hành cùng người dân kiểm tra sức khỏe mùa dịch, từ nay đến hết ngày 31/5/2022, Hệ thống Y tế MEDLATEC miễn phí khám, tư vấn sức khỏe hậu Covid-19 cùng chuyên gia đầu ngành. ![]() Trong thời gian diễn ra chương trình, MEDLATEC còn dành nhiều ưu đãi đặc biệt hấp dẫn dành tặng khách hàng khám hậu Covid-19 như: Miễn phí khám và tư vấn hậu Covid-19 cùng chuyên gia; Tặng voucher miễn phí xét nghiệm kiểm tra men gan và đường máu; Tặng 1 túi khẩu trang (5 chiếc) cho mỗi khách hàng đến khám; Miễn phí xe đưa đón tại khu vực miền Bắc với nhóm từ 20 người trở lên đến các địa điểm Bệnh viện, phòng khám của MEDLATEC thăm khám bệnh lý. Hotline 1900 56 56 56 (hỗ trợ 24/24h). |
Thế Định
