Bệnh nhân suy thận

Tin tức mới nhất về Bệnh nhân suy thận

Suy thận ở tuổi 29, người phụ nữ tiếc nuối vì bỏ qua 1 dấu hiệu cảnh báo ở chân

Từ một người phụ nữ tràn đầy hoài bão, cuộc đời D. giờ gắn với những buổi lọc máu định kỳ sau khi phát hiện suy thận giai đoạn cuối ở tuổi 29.

Bác sĩ 32 tuổi bất ngờ được phát hiện suy thận giai đoạn cuối

32 tuổi, khi đang cống hiến hết mình cho sự nghiệp chăm sóc sức khỏe nhân dân, nam bác sĩ trẻ bất ngờ được phát hiện suy thận giai đoạn cuối.

Thói quen xấu đẩy người trẻ suy thận giai đoạn cuối, mẹ trao sự sống lần hai

Nhiều người trẻ suy thận giai đoạn cuối do chủ quan với sức khỏe. Có người may mắn được hồi sinh nhờ quả thận từ chính mẹ mình.

Con gái 18 tuổi neo mạng sống bên máy chạy thận vì sai lầm từ cha mẹ

Mong mỏi con khỏe mạnh, tăng cân, mẹ của N.A liên tục bồi bổ cho con dẫn tới cô bị hỏng hết chức năng thận. Ở tuổi 18, cô gái trẻ neo mạng sống bên máy chạy thận.

Ca mổ đặc biệt, con gái hiến thận cứu mẹ

Khi các chỉ số xét nghiệm thận phù hợp, chị D. đã lên bàn mổ cùng thực hiện ca hiến và ghép với mẹ.

Nỗi ân hận ở tuổi 30 của cô gái đang neo sự sống nơi giường bệnh

Ở tuổi 30, chị A. đang điều trị suy thận mạn giai đoạn cuối, phải lọc máu 3 buổi mỗi tuần, mỗi buổi kéo dài khoảng 4 giờ và chờ đợi hy vọng được ghép thận.

Thói quen xấu khi bận ôn thi THPT khiến thận cô gái 18 tuổi ‘hóa đá’

Bận việc học hành, cô gái dùng trà sữa thay nước lọc, mì tôm chống đói dẫn đến cơn bão thận xảy ra ngay trước kỳ thi tốt nghiệp THPT 2025.

Nỗi hối hận của nam bảo vệ bị suy thận khi mới 22 tuổi

Làm bảo vệ trực ca đêm trong 2 năm, T. thường xuyên sử dụng thuốc lá, nước ngọt dẫn tới suy thận.

Người đàn ông suy thận ở tuổi 32 tuổi sau nhiều năm dùng sản phẩm tăng cơ

Người đàn ông trẻ thích tập gym nhưng sau thời gian dài sử dụng thực phẩm chức năng tăng cơ, bổ thận tráng dương mua trên mạng dẫn tới chức năng thận suy giảm nghiêm trọng.

Bạn đọc hỗ trợ gần 70 triệu đồng đến chị Đinh Hận Bảo Yến mắc suy thận

Đại diện Báo VietNamNet vừa trao số tiền 69.125.866 đồng, tấm lòng của bạn đọc giúp đỡ chị Đinh Hận Bảo Yến (Bình Phước) mắc suy thận giai đoạn cuối.

Món quà tái sinh bà mẹ trẻ từ người đàn ông xa lạ

12h trưa, chị Trang nhận được cuộc điện thoại báo đến ngay Bệnh viện Đa khoa tỉnh Quảng Ninh vì có người hiến tạng, giúp cuộc đời của chị được tái sinh.

Tiểu bọt có phải suy thận?

Nước tiểu cũng có thể là dấu hiệu cảnh báo về sức khỏe thận. Đối với một số người, nước tiểu thay đổi có thể do ăn uống, sinh lý nhưng nếu biểu hiện kéo dài, bạn nên đến cơ sở y tế khám.

Từ gánh nợ của người bệnh, chuyên gia Mỹ gợi ý 3 giải pháp cho y tế Việt

Một người phụ nữ ở Thái Nguyên gặp bất ổn sức khỏe từ năm 40 tuổi nhưng suốt hơn 10 năm qua, sự thiếu hụt trong sàng lọc, kiểm soát bệnh khiến người phụ nữ khánh kiệt.

Cô gái 21 tuổi hỏng thận vì thói quen phổ biến ở người trẻ

Cô gái 21 tuổi vào cấp cứu trong tình trạng chảy máu chân răng không cầm được. Bác sĩ phát hiện nữ bệnh nhân mắc một loạt bệnh lý nguy hiểm như suy thận, đái tháo đường.

2 thói quen khiến thận bị tàn phá âm thầm

Suy thận mạn đang ngày càng trẻ hóa, một phần bắt nguồn từ thói quen ăn uống, sinh hoạt thiếu điều độ của nhiều người.

Từng tuyệt vọng vì suy thận, người phụ nữ ra tay giúp hơn 1.000 bệnh nhân

TRUNG QUỐC - "Tôi muốn làm điều gì đó cho các bệnh nhân có hoàn cảnh như mình. Tôi muốn lan tỏa điều may mắn của bản thân cho cộng đồng", Hou Jia nói.

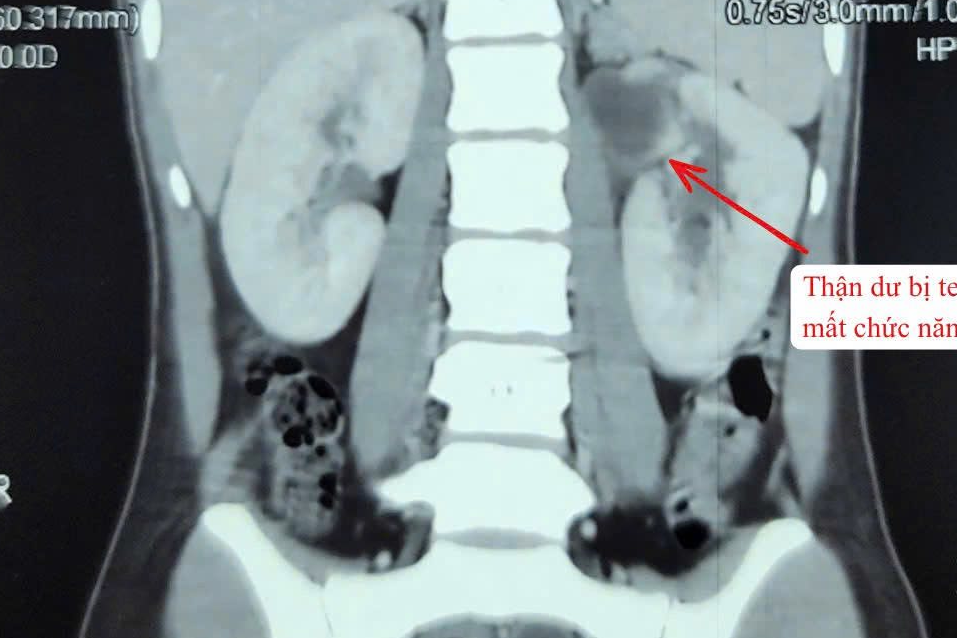
Căn bệnh khiến một bên thận của bé trai 4 tuổi teo nhỏ

Kết quả siêu âm cho thấy bệnh nhi chỉ có một quả thận, phần còn lại dù có nhưng đã bị teo bẩm sinh.

Duy trì bếp bánh trung thu 10.000 cái vì câu nói của một đứa trẻ

Thương bệnh nhi, trẻ em nghèo không có bánh trung thu, nhiều năm qua, anh Mai Quyết Thắng cố gắng duy trì bếp bánh 10.000 cái với sự chung sức của cộng đồng.

Bệnh nhân suy thận lao đao khi phải "nhường" bệnh viện cho người nhiễm Covid-19

Sáng 20/7, nhiều bệnh nhân bị suy thận mạn giai đoạn cuối đã tập trung trước cổng Bệnh viện đa khoa Khu vực Hậu Nghĩa để xin giúp đỡ.