Theo Công ty Cổ phần VinBrain (thuộc Tập đoàn Vingroup), DrAid cho Covid-19 là sản phẩm ứng dụng Trí tuệ nhân tạo (AI) vừa được Hội đồng Khoa học Bộ Y tế nghiệm thu và đặc biệt kiến nghị nên sớm đưa vào sử dụng hàng ngày tại các bệnh viện trong giai đoạn Covid-19 đang tiếp tục lây lan như hiện nay.
Ứng dụng AI chẩn đoán và tiên lượng điều trị Covid-19
Sau hơn 1 năm nghiên cứu và phát triển, mới đây, VinBrain đã công bố hoàn thiện sản phẩm DrAid cho Covid-19 với khả năng giải toàn diện bài toán Covid-19 từ hỗ trợ chẩn đoán tới tiên lượng điều trị dựa trên ảnh X-quang ngực thẳng
Mô hình AI đưa ra gợi ý về chẩn đoán và tiên lượng điều trị Covid-19 của DrAid cho Covid-19 được đào tạo trên bộ dữ liệu lớn được thu thập từ các nguồn dữ liệu mở trên thế giới và Việt Nam. Đặc biệt, trong đợt dịch bùng phát lần thứ 4 tại Việt Nam, đội ngũ VinBrain đã trực tiếp đi thu thập dữ liệu từ 26 khu cách ly F1 tại Bắc Giang và TP.HCM, 10 bệnh viện dã chiến và trung tâm cấp cứu Covid-19 tại TP.HCM và Hà Tĩnh. Đến nay DrAid đã có nguồn dữ liệu lớn nhất thế giới về Covid-19, gồm 21.421 hình ảnh X-quang ngực của bệnh nhân dương tính với SARS-CoV-2 và 118.018 ảnh X-quang ngực tiêu chuẩn.
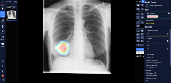
![]() |
| DrAid giúp bác sĩ theo dõi mức độ tổn thương phổi ở một bệnh nhân F0 trên ảnh X-quang phổi |
Ông Trương Quốc Hùng - Tổng Giám đốc VinBrain cho biết, DrAid cho Covid-19 hội tụ nhiều ưu điểm nổi bật như chủ động cảnh báo Covid-19 trong mọi tình huống. Cụ thể, khi được tích hợp vào các máy chụp X-quang hoặc hệ thống công nghệ thông tin sẵn có tại các bệnh viện và cơ sở y tế, DrAid cho Covid-19 sẽ hoạt động như một “màng lọc” virus SARS-CoV-2 đầu tiên trên diện rộng, giúp các bệnh viện và cơ sở y tế chủ động phát hiện người nghi nhiễm Covid-19.
Điển hình như khi người dân đi kiểm tra sức khỏe được chỉ định chụp X-quang, ngay khi ảnh được đẩy lên hệ thống, DrAid cho Covid-19 sẽ lập tức cảnh báo nếu phát hiện các dấu hiệu nghi nhiễm Covid-19, qua đó giúp các bệnh viện hoặc cơ sở y tế nhanh chóng có phương án cách ly hạn chế lây nhiễm, cũng như kịp thời điều trị cho bệnh nhân.
Tại các khu cách ly tập trung hoặc khu có nguy cơ cao, DrAid cho Covid-19 giúp phân luồng bệnh nhân trước khi xét nghiệm PCR: các F1 nghi nghiễm được khoanh vùng ngay và làm xét nghiệm PCR mẫu đơn, các trường hợp không nghi nhiễm thì làm PCR mẫu gộp và cách ly bình thường, nhờ vậy giúp tiết kiệm ngân sách Y tế.
Trong các bệnh viện thu dung điều trị Covid-19, DrAid cho Covid-19 giúp các bác sĩ đánh giá mức độ tổn thương phổi của bệnh nhân Covid-19 qua các ngày, từ đó đưa ra các chỉ định điều trị kịp thời và hiệu quả cho bệnh nhân.
Tại Việt Nam, chụp X-quang hiện vẫn là phương pháp chẩn đoán hình ảnh dễ tiếp cận nhất và được ứng dụng rộng rãi ở Y tế các cấp thuộc mọi vùng miền. Mô hình AI của DrAid cho Covid-19 lại được đào tạo trên bộ dữ liệu lớn các ảnh X-quang ngực thẳng. Bởi vậy, việc ứng dụng DrAid cho Covid-19 vào sàng lọc, chẩn đoán và tiên lượng điều trị bệnh nhân Covid-19 tại các cơ sở y tế rất thuận lợi và dễ dàng nhân rộng trên toàn quốc.
Như vậy, với sự hỗ trợ đắc lực của DrAid cho Covid-19, việc dự phòng và kiểm soát Covid-19 sẽ được diễn ra hoàn toàn chủ động, mọi lúc mọi nơi, tối ưu các nguồn nhân lực và ngân sách y tế.
Khi AI sát cánh cùng bệnh viện bước vào "bình thường mới”
VinBrain cho biết, DrAid cho Covid-19 hiện đang được sử dụng để hỗ trợ các bác sĩ tiên lượng điều trị cho bệnh nhân Covid-19 tại một số bệnh viện dã chiến tại TP.HCM và Hà Tĩnh. Giá trị hỗ trợ chẩn đoán và tiên lượng điều trị của DrAid cho Covid-19 cũng đã được chứng minh và sử dụng thực tiễn trên các xe hay máy chụp lưu động với liều tia X-quang chỉ bằng ¼ máy chụp X-quang trước đây.
Theo đánh giá của các bác sĩ tại Trung Tâm Y Tế Kỳ Anh - Hà Tĩnh, AI đã giúp đỡ các bác sĩ khá nhiều khi theo dõi tổn thương qua các ngày, nhận diện rõ ràng là tổn thương lan rộng như thế nào. Ngoài ra, AI cũng giúp bác sĩ nhận diện các tổn thương nhỏ dễ bỏ sót.
|
|
| BS tại bệnh viện dã chiến Kỳ Anh sử dụng DrAid để theo dõi điều trị cho bệnh nhân Covid-19 |
Sau khi ứng dụng DrAid trong đợt dịch bùng phát tại Bắc Giang, một lãnh đạo huyện Việt Yên cũng đánh giá, việc trí tuệ nhân tạo hỗ trợ sàng lọc, phát hiện sớm các F1 có nguy cơ cao trở thành F0 và các bệnh nền ở phổi đóng vai trò rất quan trọng, giúp lãnh đạo huyện có cơ sở đánh giá các yếu tố dịch tễ từ đó ra các quyết định kịp thời, đảm bảo công cuộc phòng chống dịch hiệu quả.
Ông Trương Quốc Hùng khẳng định, tiềm năng ứng dụng của sản phẩm DrAid cho Covid-19 không chỉ giới hạn tại Việt Nam mà còn trên toàn thế giới, như một công cụ hữu hiệu để chủ động dự phòng và kiểm soát đại dịch một cách toàn diện. Với giải pháp chẩn đoán và tiên lượng điều trị bệnh nhân Covid-19 này, hệ thống y tế sẽ có thêm một công cụ hữu hiệu để chủ động ứng phó với đại dịch, giúp bệnh nhân Covid-19 được phát hiện sớm và điều trị, cứu chữa kịp thời.
Trí tuệ nhân tạo (AI) là công nghệ đang nhận được nhiều sự chú ý nhờ vào tiềm năng giải được các nút thắt then chốt trong bài toán dự phòng Covid-19 thông qua tốc độ, khả năng nhân rộng và tối ưu các nguồn lực kinh tế, con người. Bởi vậy, các ứng dụng của Trí tuệ nhân tạo hứa hẹn là trợ lý đắc lực cho các bác sĩ và người dân Việt Nam bước vào “bình thường mới” chung sống với Covid-19, nếu được khai thác chuẩn mực, chuyên sâu và ứng dụng phù hợp, đúng lúc đúng kịch bản.
Minh Tuấn

